Allo Docteurs L'info santé en vidéo
  • Vidéos
  • Actus
  • Fiches santé
  • Tests
  • À la une
    • Médicaments
    • Maladies
    • Urgences
    • Bobos du quotidien
    • Société
    • Voir tout

    Des haricots verts rappelés dans tous les Carrefour de France : ils peuvent contenir des morceaux de verre

    Rappel Haricots verts
    Top sujets
    • Covid
    • Vaccins
    • Chirurgie
    • Nutrition
    • Psycho
    • Sexo
    • Sport santé
    • Animaux
    • Voir tout

    Quels sont les bienfaits du bain de pieds ?

    Quels sont les bienfaits du bain des pieds ?
    Top sujets
    • Sexo
    • Sommeil
    • Bien-être - Psycho
    • Alimentation
    • Sport et santé
    • Environnement et santé
    • Grossesse
    • Enfant
    • Procréation
    • Voir tout

    Pourquoi les enfants ont parfois des taches noires sur les dents ?

    pourquoi les enfants ont parfois des taches noires sur les dents ?
    Top sujets
    • Diabète de grossesse
    • Accouchement
    • Vaccin
    • Produit sucré
    • Ethique, Bioéthique
    • Maladies nutritionnelles
  • Émissions
  • Accueil
  • Auteurs
  • Maroussia Renard

Maroussia Renard

Journaliste

Page 2

Syndrome de Cloves : "Ce traitement a changé ma vie"

Le syndrome de Cloves est une maladie génétique qui déforme les corps, les visages

Perfusionniste au bloc opératoire : "On a la vie du patient entre nos mains "

Perfusionniste au bloc opératoire : "On a la vie du patient entre nos mains "

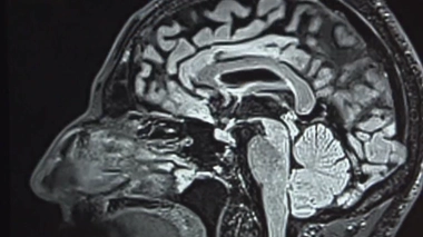
Comment le Lecanemab agit pour freiner la maladie d'Alzheimer

Un nouveau médicament, baptisé Lecanemab, permettrait de ralentir la progression de la maladie d'Alzheimer

Le laser anti-tabac, une technique efficace pour arrêter de fumer ?

Le laser anti-tabac n'a jamais prouvé son efficacité

Trois recettes originales à base de cerises

Trois recettes originales à base de cerises

Peut-on prendre des laxatifs quand on est enceinte ?

Peut-on prendre des laxatifs quand on est enceinte ?

Pourquoi il faut se protéger du soleil dès le printemps

Protégez-vous du soleil, même au printemps !

Ne pas avoir de mutuelle, une fausse bonne idée ?

Faut-il obligatoirement souscrire une mutuelle si vous ne bénéficiez pas d’un contrat collectif ?

Tout sur la chirurgie des paupières

Lorsque la paupière tombe, elle gêne la vue du patient, l'opération peut être prise en charge

Un nouveau site pour aider les femmes atteintes d'un cancer du sein triple négatif

Un nouveau site pour aider les femmes atteintes d'un cancer du sein triple négatif

Quand une chirurgie foetale sauve la vie de jumeaux en danger

Quand une chirurgie foetale sauve la vie de jumeaux en danger

Chirurgies de la main : immersion dans un centre SOS mains

Près de 1,4 millions d’accidents de la main sont recensés chaque année en France

L'activité physique, une alliée contre le cancer du pancréas

L'activité physique, une alliée contre le cancer du pancréas

Comment l'acupuncture aide à mieux supporter les traitements du cancer

Plusieurs études récentes montrent que l’acupuncture est efficace pour certains effets secondaires des traitements du cancer

Cancer du sein : une gélule sur mesure pour mieux supporter l'hormonothérapie

L'hormonothérapie permet de limiter le risque de récidive mais entraîne des effets secondaires qui poussent certaines femmes à l'abandonner

Cannabis thérapeutique : du CBD testé chez les enfants épileptiques

A quand remonte l’usage thérapeutique du cannabis ?

Bas de contention : comment bien les choisir et bien les mettre

Bas de contention : comment bien les choisir et bien les mettre

Anxiolytiques, somnifères : comment se sevrer des benzodiazépines

Anxiolytiques, somnifères : comment se sevrer des benzodiazépines

Des pâtes, des pâtes, oui... mais aux légumineuses !

Des pâtes, des pâtes, oui... mais aux légumineuses !

Les mystères du bégaiement bientôt élucidés ?

Les mystères du bégaiement bientôt élucidés ?
  • Page précédente
  • 1
  • 2
  • 3
  • 4
  • 5
  • 6
  • 7
  • 8
  • 9
  • 10
  • 11
  • 12
  • 13
  • Page suivante
Allo Docteurs, l'info santé en vidéo
  • Recettes
  • Rappel produit
  • Le Mag de la Santé
  • Cancer
  • Médicaments

  • Qui sommes-nous ?
  • Mentions légales
  • Politiques de confidentialité
  • Charte d'utilisation
  • Index thématique
  • Flux RSS
  • Flux Atom

Retrouvez-nous sur