Allo Docteurs L'info santé en vidéo
  • Vidéos
  • Actus
  • Fiches santé
  • Tests
  • À la une
    • Médicaments
    • Maladies
    • Urgences
    • Bobos du quotidien
    • Société
    • Voir tout

    Appel pour Elio : on vous explique comment se passe le don de moelle osseuse

    Appel pour Elio : on vous explique comment se passe le don de moelle osseuse
    Top sujets
    • Covid
    • Vaccins
    • Chirurgie
    • Nutrition
    • Psycho
    • Sexo
    • Sport santé
    • Animaux
    • Voir tout

    Savon ou syndet, quelles différences et lequel choisir pour quels usages ?

    Savon ou syndet, quelles différences et lequel choisir pour quels usages ?
    Top sujets
    • Sexo
    • Sommeil
    • Bien-être - Psycho
    • Alimentation
    • Sport et santé
    • Environnement et santé
    • Grossesse
    • Enfant
    • Procréation
    • Voir tout

    Les stérilisateurs de biberons sont-ils vraiment utiles ?

    Les stérilisateurs de biberons sont-ils vraiment utiles ?
    Top sujets
    • Diabète de grossesse
    • Accouchement
    • Vaccin
    • Produit sucré
    • Ethique, Bioéthique
    • Maladies nutritionnelles
  • Émissions
  • Accueil
  • Thématiques
  • Maladies infectieuses et tropicales

Maladies infectieuses et tropicales

Page 12

Le chikungunya débarque en Polynésie française

Le chikungunya débarque en Polynésie française

Echantillons de SRAS perdus : deux ministres mettent en cause l'Institut Pasteur

Pour l'instant, six personnes sont infectées en France

Un cancer métastasé mis KO par une dose massive de virus

Cellules cancéreuses dans la moëlle osseuse (cc by sa KGH)

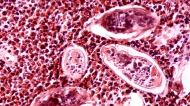
Bilharziose : des vers parasites dans une rivière de Corse

Oeufs de Schistosoma haematobium (ver responsable de la bilharziose uro-génitale) dans une vessie. (Crédit photo : CDC/ Dr. Edwin P. Ewing, Jr)

Listeria : rappel de trois lots de saumon fumé

Listeria : rappel de trois lots de saumon fumé

SRAS : l'Institut Pasteur porte plainte contre X

SRAS : l'Institut Pasteur porte plainte contre X

Des d'un patient atteint de la rage en Île-de-France

Des d'un patient atteint de la rage en Île-de-France

''Virus Attack'', une aventure futuriste au coeur du corps humain

''Virus Attack'', une aventure futuriste au coeur du corps humain

Bactériographie : des œuvres d'art en bactéries

Photo ©The Big Bang UK Young Scientists & Engineers Fairs/Zachary Copfer

Chikungunya, la bête noire des Antilles

Chikungunya, la bête noire des Antilles

Les maladies cardiovasculaires, fléau du monde arabe

La Ligue Arabe (en vert) est une organisation régionale à statut d’observateur auprès de l'Organisation des Nations unies. (cc-by-sa Danalm000).

Listeria : des Saint-Nectaire retirés de la vente

Un saint nectaire fermier (cc-by-sa Homer Ectus)

19 décès à Nice : une bactérie multirésistante suspectée

19 décès à Nice : une bactérie multirésistante suspectée

Marseille : plus de 40 personnes infectées par une bactérie résistante

Une bactérie mutante sévit dans la région de Marseille

Hajj 2013 : un pèlerinage sous haute surveillance sanitaire

Hajj 2013 : un pèlerinage sous haute surveillance sanitaire

Une nouvelle espèce de moustique découverte à Mayotte

Une nouvelle espèce de moustique découverte à Mayotte

Cancer colorectal : une bactérie en cause ?

Fusobacterium nucleatum, une bactérie qui pourrait être impliquée dans le cancer du côlon

Des chauves-souris à l'origine du MERS-CoV

Des chauves-souris à l'origine du MERS-CoV
  • Page précédente
  • 1
  • 3
  • 4
  • 5
  • …
  • 10
  • 11
  • 12
  • 13
  • 14
  • …
  • 17
  • 20
  • 21
  • 25
  • Page suivante
Allo Docteurs, l'info santé en vidéo
  • Recettes
  • Rappel produit
  • Le Mag de la Santé
  • Cancer
  • Médicaments

  • Qui sommes-nous ?
  • Mentions légales
  • Politiques de confidentialité
  • Charte d'utilisation
  • Index thématique
  • Flux RSS
  • Flux Atom

Retrouvez-nous sur