Bilharziose : des vers parasites dans une rivière de Corse
Plusieurs cas groupés de bilharziose - maladie parasitaire due à un vers qui pond ses œufs dans le sang - ont été signalés aux autorités sanitaires le mois dernier en Corse, selon des informations communiquées par la Direction générale de la santé (DGS) et de l'Agence régionale de santé (ARS). Les infections semblent avoir eu lieu à l'occasion de baignades dans le Cavu, une rivière de Corse du Sud.



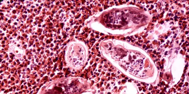
La bilharziose (ou schistosomiase) est la deuxième maladie parasitaire la plus mortelle après le paludisme.
Elle est provoquée par des vers parasites (nommés schistosomes, ou bilharzies), présents dans certaines eaux douces, essentiellement dans les zones tropicales et subtropicales. Ceux-ci s'infiltrent par la peau dans la circulation sanguine, et y pondent des milliers d'œufs.
Si des traitements existent pour cette maladie, celle-ci passe souvent inaperçue à ses débuts. Les complications (intestinales, comme des troubles du transit, du sang dans les selles, ou uro-génitales telles que du sang dans les urines, des brûlures en douleurs en urinant, etc) sont dues à l'installation des œufs dans divers tissus, se manifestent souvent plusieurs années après l'infection. Des lésions de divers organes (reins, foie...) sont potentiellement observables : développement de cancers urogénitaux, stérilité, décès. Affaiblis par la présence du parasite, l'organisme des malades est en outre plus fragile aux autres infections, virales et bactériennes.
A noter que les différentes espèces de bilharzies sont généralement responsables de complications spécifiques.
Des bilharzies en Corse
Des contaminations survenant sur le territoire français (hors DOM-TOM) "sont tout à fait exceptionnelles", selon le Pr Berry, chef du service de parasitologie au CHU de Toulouse, qui a donné l'alerte fin avril 2014. Son service avait détecté huit cas de bilharziose uro-génitale chez des résidents de la région toulousaine ayant fréquenté ces dernières années un camping proche de la rivière Cavu.
Les cas traités dans les hôpitaux français concernent quasi exclusivement des touristes ou des immigrants ayant séjourné dans les zones endémiques. "C'est pourquoi nous avons mis du temps à diagnostiquer les cas liés à la Corse", explique le médecin.
Le premier des huit cas concernait une petite fille de 4 ans, suivie pour un problème de polypes vésicaux, dont l'origine s'est révélée être une bilharziose urinaire.
Interrogé par l'AFP, le Pr Berry précise que cinq autres cas de bilharziose, chez des vacanciers ayant séjourné dans la même région en 2013, ont par ailleurs été signalés en Allemagne. Après enquête auprès de sa famille et de deux autres familles ayant fréquenté la même région autour de Porto Vecchio, huit cas ont été diagnostiqués au total sur les douze personnes exposées.
Evaluation des risques
Dans un message envoyé le 13 mai 2014 aux professionnels de santé, la DGS précise avoir saisi les autorités sanitaires "pour évaluer les risques et la conduite à tenir".
"En fonction des éléments recueillis et des conclusions de ces expertises, un plan d'actions sera élaboré par les autorités sanitaires avant le début de la période à risque et de la saison de baignade. Il précisera notamment les modalités de dépistage, de diagnostic, de prévention et d'information à mettre en oeuvre", indique de son coté l'ARS-Corse.
Certains œufs du ver responsables de la bilharziose uro-génitale (Schistosoma haematobium) peuvent être rejetés avec les urines des personnes infestées. De ces œufs sortent des larves, qui infestent ensuite des mollusques d'eau douce. Elles s'y transforment en une forme très mobile du parasite, qui peut pénétrer aisément dans l'organisme des mammifères en passant au travers de leur peau.
"Si des personnes atteintes de la bilharziose sans le savoir se baignent et urinent dans une eau douce contenant des bulins [mollusques qui peuvent être l'hôte du ver, présents dans certaines régions de Corse, NDLR], elles peuvent propager la bilharziose", souligne le Pr Barry qui estime qu'il "faut traiter un maximum de personnes avant la période estivale".
Dans un communiqué, la Société de néphrologie invite pour sa part les médecins à évoquer le diagnostic de bilharziose devant toute présence de sang dans les urines chez une personne ayant eu un contact avec de l'eau douce naturelle en Corse à partir de l'été 2011 (baignades en piscines exclues).