Allo Docteurs L'info santé en vidéo
  • Vidéos
  • Actus
  • Fiches santé
  • Tests
  • À la une
    • Médicaments
    • Maladies
    • Urgences
    • Bobos du quotidien
    • Société
    • Voir tout

    Toxines : ne consommez pas ce pain vendu dans toute la France

    Rappel conso : pain
    Top sujets
    • Covid
    • Vaccins
    • Chirurgie
    • Nutrition
    • Psycho
    • Sexo
    • Sport santé
    • Animaux
    • Voir tout

    Découvrez ce qui se cache dans une galette des rois industrielle

    galette des rois
    Top sujets
    • Sexo
    • Sommeil
    • Bien-être - Psycho
    • Alimentation
    • Sport et santé
    • Environnement et santé
    • Grossesse
    • Enfant
    • Procréation
    • Voir tout

    Ondes, chaleur... ces "super caleçons" peuvent-ils vous aider à être plus fertiles ?

    Des "super caleçons" pour être plus fertile ?
    Top sujets
    • Diabète de grossesse
    • Accouchement
    • Vaccin
    • Produit sucré
    • Ethique, Bioéthique
    • Maladies nutritionnelles
  • Émissions
  • Accueil
  • Santé

Santé

Page 21

Décès d'une patiente aux urgences de Villeneuve-Saint-Georges : ce que l'on sait

Selon un témoin, la jeune femme s’était "allongée sur le sol" un peu plus tôt dans la journée, avant d’être "assise sur une chaise"

Tout savoir sur l'opzelura, ce nouveau traitement du vitiligo

La nouvelle crème est très efficace pour les taches sur le visage

Flore de Döderlein abondante ou altérée : on vous explique vos résultats d'analyse

Une infection peut se caractériser par des démangeaisons

Syndrome du salon de coiffure : voici le lien entre AVC et bac à shampoing

Syndrome du salon de coiffure : voici le lien entre AVC et bac à shampoing

Quatre choses à savoir sur les corticoïdes

Quatre choses à savoir sur les corticoïdes

Plusieurs lots de poivre rappelés en France : ce qu'il faut savoir

Plusieurs lots de poivre rappelés en France : ce qu'il faut savoir

Salmonelles : de nouveaux lots de croquettes contaminées font l'objet d'un rappel

Salmonelles : de nouveaux lots de croquettes contaminées font l'objet d'un rappel

Virus respiratoire MPVh en Chine : faut-il s'inquiéter de cette nouvelle épidémie ?

Les cas de MPVh augmentent actuellement en Chine

Faut-il prendre des probiotiques après une gastro ?

L'efficacité des probiotiques n'est pas encore prouvée scientifiquement

Rappel produit : attention à ces dés de jambon

Rappel : dés de jambon

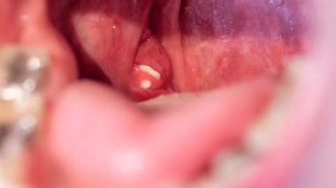
Quels traitements pour éliminer le caséum sur les amygdales ?

Quels traitements pour éliminer le caséum sur les amygdales ?

Rappel produit : ne consommez pas cette mousse au chocolat vendue dans toute la France

Rappel produit : ne consommez pas cette mousse au chocolat vendue dans toute la France

Que peut-on manger et boire quand on a la grippe ?

Que peut-on manger et boire quand on a la grippe ?

Non, les emballages alimentaires en fibres végétales ne sont pas une si bonne idée

Les emballages en fibres végétales peuvent contenir des substances nocives

Quatre choses à savoir sur les antidépresseurs

Contrairement aux anxiolytiques, les antidépresseurs ne créent pas d'accoutumance

Salmonelles : ne consommez pas ces boîtes de six oeufs contaminés

Rappel conso : oeufs

Panaris récurrents : comment les traiter ?

Panaris récurrents : comment les traiter ?

Combien de temps faut-il garder ses documents médicaux ?

Certains documents doivent être gardés à vie

Comment se déroule un frottis du col de l'utérus ?

Le dépistage du cancer du col de l'utérus est proposé à toutes les femmes âgées de 25 à 65 ans

Assainissement dentaire par ultrasons : tout ce qu'il faut savoir

Assainissement dentaire par ultrasons : tout ce qu'il faut savoir
  • Page précédente
  • 1
  • 4
  • 5
  • 10
  • …
  • 19
  • 20
  • 21
  • 22
  • 23
  • …
  • 250
  • 500
  • 1000
  • 1647
  • Page suivante
Allo Docteurs, l'info santé en vidéo
  • Recettes
  • Rappel produit
  • Le Mag de la Santé
  • Cancer
  • Médicaments

  • Qui sommes-nous ?
  • Mentions légales
  • Politiques de confidentialité
  • Charte d'utilisation
  • Index thématique
  • Flux RSS
  • Flux Atom

Retrouvez-nous sur