Allo Docteurs L'info santé en vidéo
  • Vidéos
  • Actus
  • Fiches santé
  • Tests
  • À la une
    • Médicaments
    • Maladies
    • Urgences
    • Bobos du quotidien
    • Société
    • Voir tout

    Rappel produit : pourquoi vous ne devez pas utiliser ces lessives

    Rappel conso : lessive
    Top sujets
    • Covid
    • Vaccins
    • Chirurgie
    • Nutrition
    • Psycho
    • Sexo
    • Sport santé
    • Animaux
    • Voir tout

    Kiwi jaune ou kiwi vert, lequel choisir ?

    Kiwi jaune, kiwi vert : quel est le meilleur ?
    Top sujets
    • Sexo
    • Sommeil
    • Bien-être - Psycho
    • Alimentation
    • Sport et santé
    • Environnement et santé
    • Grossesse
    • Enfant
    • Procréation
    • Voir tout

    Ondes, chaleur... ces "super caleçons" peuvent-ils vous aider à être plus fertiles ?

    Des "super caleçons" pour être plus fertile ?
    Top sujets
    • Diabète de grossesse
    • Accouchement
    • Vaccin
    • Produit sucré
    • Ethique, Bioéthique
    • Maladies nutritionnelles
  • Émissions
  • Accueil
  • Santé
  • Société

Société

Page 144

La lèpre, une maladie qui traverse les siècles

Retour sur l'histoire des traitements médicaux mais aussi sociaux des lépreux.

Les internes, grands oubliés du gouvernement ?

Les internes, grands oubliés du gouvernement ?

Bisphénol A : la colère des chercheurs

Interview d'André Cicolella, toxicologue et président du Réseau Environnement Santé.

Une permanencière du Samu et un CHU devant la justice

La prise en charge tardive du SAMU aurait entraîné le décès d'une jeune femme en 2009. Mais quel est, précisément, le rôle d'un médecin urgentiste du SAMU ? (reportage du 8 décembre 2011)

Droit à l'avortement : un long combat

Le droit à l'avortement a 40 ans.

Tiers payant : Marisol Touraine ne cédera pas

Entretien avec Christian Saout, secrétaire général délégué du CISS

Des syndicats de médecins veulent faire crouler la Sécu sous la paperasse

Des syndicats de médecins veulent faire crouler la Sécu sous la paperasse

Les médecins continuent leur bras de fer

Entretien avec le Dr Luc Duquesnel, président de la section généraliste de la CSMF

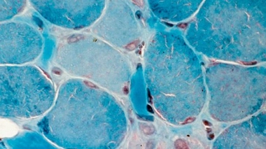
Comment une myopathie peut-elle être diagnostiquée par erreur ?

Lésion et régénération cellulaires dans la maladie de Duchenne © Inserm

Santé : ce qui va changer en 2015

Santé : ce qui va changer en 2015 (Photo © Gajus - Fotolia.com)

Radiation confirmée pour le Dr Bonnemaison

Fin de vie : le cas Nicolas Bonnemaison rejugé en appel (Image d'archives)

La justice néerlandaise confirme l'extradition du ''dentiste de l'horreur''

La justice néerlandaise confirme l'extradition du ''dentiste de l'horreur''

Revenus des médecins généralistes : quelques chiffres pour comprendre

Revenus des médecins généralistes : quelques chiffres pour comprendre

Les handicaps liés à l'obésité reconnus par la justice européenne

Les handicaps liés à l'obésité reconnus par la justice européenne

Grève des médecins à Noël : les raisons de la colère

Entretien avec le Dr Claude Leicher, président du Syndicat de médecins généralistes, MG France.

Prix des médicaments : encore de gros décalages d'une pharmacie à l'autre

Prix des médicaments : encore de gros décalages d'une pharmacie à l'autre

Prothèse, fauteuil roulant... des dispositifs médicaux trop chers

Chronique de Maroussia Renard du 10 décembre 2014

Maternité d'Orthez : l'anesthésiste remise en liberté

Tous préjudices confondus, le montant de l’indemnisation s'élève à 10.940.394 euros.

Epilation par lumière pulsée : cinq esthéticiennes condamnées

Epilation par lumière pulsée : cinq esthéticiennes condamnées

Faut-il sauver les feux de cheminées ?

Faut-il sauver les feux de cheminées ? - Illustration : extrait du film ''Mary Poppins'' de Robert Stevenson, 1964 (tous droits réservés © Disney Pictures)
  • Page précédente
  • 1
  • 25
  • 50
  • 100
  • …
  • 142
  • 143
  • 144
  • 145
  • 146
  • …
  • 150
  • 160
  • 175
  • 179
  • Page suivante
Allo Docteurs, l'info santé en vidéo
  • Recettes
  • Rappel produit
  • Le Mag de la Santé
  • Cancer
  • Médicaments

  • Qui sommes-nous ?
  • Mentions légales
  • Politiques de confidentialité
  • Charte d'utilisation
  • Index thématique
  • Flux RSS
  • Flux Atom

Retrouvez-nous sur