Vidéos
Actus
Fiches santé
Tests
À la une
Santé
Médicaments
Maladies
Urgences
Bobos du quotidien
Société
Voir tout
Toxines : ne consommez pas ce pain vendu dans toute la France
Top sujets
Covid
Vaccins
Chirurgie
Bien-être
Nutrition
Psycho
Sexo
Sport santé
Animaux
Voir tout
Qu'est-ce que le vaginisme et comment le surmonter ?
Top sujets
Sexo
Sommeil
Bien-être - Psycho
Alimentation
Sport et santé
Environnement et santé
Famille
Grossesse
Enfant
Procréation
Voir tout
Ondes, chaleur... ces "super caleçons" peuvent-ils vous aider à être plus fertiles ?
Top sujets
Diabète de grossesse
Accouchement
Vaccin
Produit sucré
Ethique, Bioéthique
Maladies nutritionnelles
Émissions
À la une
Vidéos
Fiches santé
Recherche
Menu
Accueil
Thématiques
Pilule
Quel est l'effet de la pilule sur l'endométriose ?
Pourquoi les médicaments n'ont-ils longtemps été testés que sur des hommes
IVG : prescrire une pilule abortive à distance est sans risque, selon une étude
Commencer la pilule à l'adolescence augmenterait le risque de dépression de 130%
Comment est née la pilule ?
Nos fiches santé Pilule
À chacune sa contraception !
La pilule : une contraception simple à avaler !
Les derniers sujets
IVG : vers une pénurie de pilules abortives en France ?
IVG : le Wyoming devient le premier État américain à interdire la pilule abortive
Tout savoir sur la pilule contraceptive
La pilule du lendemain bientôt gratuite pour toutes et sans ordonnance
Comment se procurer la pilule du lendemain en France ?
Pilules contraceptives pour animaux : pas sans l’avis du véto !
Covid : la pilule anti-Covid de Pfizer désormais disponible sur ordonnance
Contraception : bientôt une pilule masculine non-hormonale ?
Ovaires polykystiques : la pilule réduirait le risque de diabète de type 2
Lutéran, Lutényl et risque de tumeurs au cerveau : des indications restreintes
Pilules de 3e génération : l'affaire Marion Larat sera bien instruite
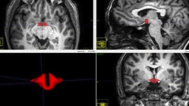
Les femmes sous pilule présentent "une différence spectaculaire" dans leur cerveau
Contraception : bientôt une pilule à prendre une seule fois par mois ?
Charger plus d'articles
1
2
3
4
5
6
7
8
9
Page suivante