Les femmes sous pilule présentent "une différence spectaculaire" dans leur cerveau

L’hypothalamus, région du cerveau qui régule notamment l’appétit, le sommeil ou la libido, est plus petit chez les femmes qui prennent une pilule contraceptive, selon des chercheurs en radiologie.

La rédaction d'Allo Docteurs
La rédaction d'Allo Docteurs
Rédigé le
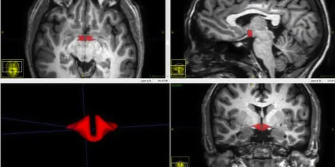
En rouge : l'hypothalamus, plus petit chez les femmes qui prennent la pilule.
En rouge : l'hypothalamus, plus petit chez les femmes qui prennent la pilule.  —  Crédits Photo : © RSNA / Dr M. Lipton

Quel est l’effet de la pilule contraceptive… sur le cerveau des femmes ? Des chercheurs du centre de recherche Gruss Magnetic Resonance de l’université de médecine Albert Einstein à New-York (Etats-Unis), ont présenté leurs derniers travaux sur le sujet au congrès annuel de la Radiological Society of North America (RSNA). Selon eux, les femmes qui prennent la pilule présentent un hypothalamus plus petit que les autres.

Cette observation pourrait expliquer certains des effets secondaires de la pilule contraceptive puisque l’hypothalamus produit des hormones et contribue à réguler des fonctions corporelles comme l’humeur, l’appétit, la libido, les cycles de sommeil ou encore le rythme cardiaque.

Volume de l'hypothalamus

Pour leurs travaux, les chercheurs ont fait appel à 50 femmes en bonne santé, dont 21 prenaient une pilule contraceptive. Toutes ces volontaires ont passé une IRM du cerveau et les chercheurs ont calculé le volume de leur hypothalamus. "Nous avons constaté une différence spectaculaire dans la taille des structures cérébrales entre les femmes qui prenaient des contraceptifs oraux et les autres" déclare le docteur Michael Lipton, co-auteur de ces travaux, dans un communiqué de la RSNA.

Colère et symptômes dépressifs

D’autres études sur un plus grand nombre de femmes seront nécessaires pour valider ces résultats. Mais "cette première étude montre une forte association et devrait motiver des recherches plus poussées sur les effets des contraceptifs oraux sur la structure du cerveau et leur impact potentiel sur le fonctionnement du cerveau" souligne le docteur Lipton.

Autre résultat "préliminaire" de cette étude : un plus faible volume hypothalamique est également associé à une colère plus marquée et à des symptômes dépressifs.

Il existe enfin un point sur lequel les femmes qui prennent la pilule peuvent se rassurer : l’étude n’a révélé aucune corrélation significative entre le volume hypothalamique et les performances cognitives.