Allo Docteurs L'info santé en vidéo
  • Vidéos
  • Actus
  • Fiches santé
  • Tests
  • À la une
    • Médicaments
    • Maladies
    • Urgences
    • Bobos du quotidien
    • Société
    • Voir tout

    Appel pour Elio : on vous explique comment se passe le don de moelle osseuse

    Appel pour Elio : on vous explique comment se passe le don de moelle osseuse
    Top sujets
    • Covid
    • Vaccins
    • Chirurgie
    • Nutrition
    • Psycho
    • Sexo
    • Sport santé
    • Animaux
    • Voir tout

    Savon ou syndet, quelles différences et lequel choisir pour quels usages ?

    Savon ou syndet, quelles différences et lequel choisir pour quels usages ?
    Top sujets
    • Sexo
    • Sommeil
    • Bien-être - Psycho
    • Alimentation
    • Sport et santé
    • Environnement et santé
    • Grossesse
    • Enfant
    • Procréation
    • Voir tout

    Les stérilisateurs de biberons sont-ils vraiment utiles ?

    Les stérilisateurs de biberons sont-ils vraiment utiles ?
    Top sujets
    • Diabète de grossesse
    • Accouchement
    • Vaccin
    • Produit sucré
    • Ethique, Bioéthique
    • Maladies nutritionnelles
  • Émissions
  • Accueil
  • Thématiques
  • Insolite

Insolite

Page 6

Maroc : enceinte de septuplés, elle accouche finalement de 9 bébés !

De nombreux cas de grossesse précoce ont été signalés dans les quatre coins du Sénégal (photo d'illustration)

Au fond de la grotte leurs journées duraient 32 heures  !

Au fond de la grotte leurs journées duraient 32 heures  !

Un tatouage biodégradable innovant

Un tatouage biodégradable innovant

Retour à la réalité pour les confinés de la grotte

Retour à la réalité pour les confinés de la grotte

Le blob : le nouvel ami de Thomas Pesquet

Image d'illustration de blobs

Il perd 25 kilos... mais survit un mois seul dans la jungle

Il perd 25 kilos... mais survit un mois seul dans la jungle

Recherche sur le Sida : Condamnation d'un escroc s'affirmant associé au Gabon

En France, un homme a été condamné pour avoir soutiré des fonds pour une prétendue recherche contre le sida (photo d'illustration)

Le Bhoutan, champion du monde de la vaccination anti-covid !

Image d'illustration. Ville de Thimphou, capitale du Bhoutan.

Des bactéries inconnues sur Terre découvertes à bord de la Station spatiale internationale

La Station spatiale internationale (ISS) en orbite autour de la Terre.

Eau qui coule ou chants d’oiseaux : écouter la nature est bon pour la santé

Eau qui coule ou chants d’oiseaux : écouter la nature est bon pour la santé

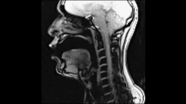
VIDEO - Que se passe-t-il à l'intérieur de la gorge d'un chanteur ? La réponse grâce à une IRM

VIDEO - Que se passe-t-il à l'intérieur de la gorge d'un chanteur ? La réponse grâce à une IRM

Coronavirus : après le test nasal, un test anal ?

En Chine, le test anal est jugé plus fiable qu'un test PCR (photo d'illustration)

C'est une première au Maroc, une entreprise accorde un congé paternité de 20 semaines

Au Maroc, une entreprise a décidé d'accorder 20 semaines de congés à tous les futurs parents (photo d'illustration)

Contre les cancers pédiatriques, il bat le record du monde d’immersion dans la glace

Contre les cancers pédiatriques, il bat le record du monde d’immersion dans la glace

Un premier foyer de Covid-19 détecté en Antarctique, seul continent jusqu'ici épargné

Un premier foyer de Covid-19 détecté en Antarctique, seul continent jusqu'ici épargné

Connaissez-vous le kunyaza, cette pratique sexuelle dédiée au plaisir féminin ?

Le kunyaza vise à susciter l'orgasme féminin

Coronavirus en Chine : Des couches jetables recommandées pour les hôtesses de l'air

En Chine, les hôtesses de l'air devraient porter des couches jetables

Un adolescent tue sa mère pour un jeu vidéo

Au Maroc, un jeu vidéo est à l'origine d'un drame !
  • Page précédente
  • 1
  • 2
  • 3
  • 4
  • 5
  • 6
  • 7
  • 8
  • …
  • 11
  • 12
  • 15
  • 20
  • 25
  • 34
  • Page suivante
Allo Docteurs, l'info santé en vidéo
  • Recettes
  • Rappel produit
  • Le Mag de la Santé
  • Cancer
  • Médicaments

  • Qui sommes-nous ?
  • Mentions légales
  • Politiques de confidentialité
  • Charte d'utilisation
  • Index thématique
  • Flux RSS
  • Flux Atom

Retrouvez-nous sur