Allo Docteurs L'info santé en vidéo
  • Vidéos
  • Actus
  • Fiches santé
  • Tests
  • À la une
    • Médicaments
    • Maladies
    • Urgences
    • Bobos du quotidien
    • Société
    • Voir tout

    Rappel produit : attention à ces jus de fruits qui ont peut-être fermenté

    Rappel conso : jus de fruits
    Top sujets
    • Covid
    • Vaccins
    • Chirurgie
    • Nutrition
    • Psycho
    • Sexo
    • Sport santé
    • Animaux
    • Voir tout

    Les injections à base de sperme de saumon sont-elles efficaces ?

    Les injections à base de sperme de saumon sont-elles efficaces ?
    Top sujets
    • Sexo
    • Sommeil
    • Bien-être - Psycho
    • Alimentation
    • Sport et santé
    • Environnement et santé
    • Grossesse
    • Enfant
    • Procréation
    • Voir tout

    Pourquoi les enfants ont parfois des taches noires sur les dents ?

    pourquoi les enfants ont parfois des taches noires sur les dents ?
    Top sujets
    • Diabète de grossesse
    • Accouchement
    • Vaccin
    • Produit sucré
    • Ethique, Bioéthique
    • Maladies nutritionnelles
  • Émissions
  • Accueil
  • Thématiques
  • Cerveau et neurologie

Cerveau et neurologie

Page 5

Cerveau : la malbouffe appelle la malbouffe

Cerveau : la malbouffe appelle la malbouffe

Qu’est-ce que le virus Borna qui a tué huit personnes en Allemagne ?

Neurones : un venin d'araignée peut empêcher leur mort après un AVC -

Les kystes de Tarlov, une affection invalidante

Les kystes de Tarlov, une affection invalidante

Peut-on apprendre sans en avoir conscience ?

Peut-on apprendre sans en avoir conscience ?

Amour, amitié, travail : notre cerveau choisit-il nos relations à notre insu ?

Amour, amitié, travail : notre cerveau choisit-il nos relations à notre insu ?

Narcolepsie : des crises de sommeil involontaires

Narcolepsie : des crises de sommeil involontaires

Les femmes sous pilule présentent "une différence spectaculaire" dans leur cerveau

En rouge : l'hypothalamus, plus petit chez les femmes qui prennent la pilule.

Notre cerveau est-il plus rapide que nous ?

Notre cerveau est-il plus rapide que nous ?

De quelle couleur voyez-vous cette robe : blanche ou bleue ?

De quelle couleur voyez-vous cette robe : blanche ou bleue ?

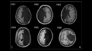
Ils vivent avec la moitié d’un cerveau… et ils se portent bien !

Images des six cerveaux ayant subi une hémisphérectomie.

En Ecosse, les têtes au football bientôt interdites pour prévenir les risques de démence ?

En Ecosse, les têtes au football bientôt interdites pour prévenir les risques de démence ?

La syringomyélie : une maladie rare de la moelle épinière

La syringomyélie : une maladie rare de la moelle épinière

Dans la tête d'un gaucher...

Dans la tête d'un gaucher...

Gare aux amibes mangeuses de cerveau !

Illustration de l'amibe Naegleria fowleri.

Accident Vasculaire Cérébral : comment réagir ?

Accident Vasculaire Cérébral : comment réagir ?

À la découverte d'un décodeur qui traduit nos pensées en paroles

À la découverte d'un décodeur qui traduit nos pensées en paroles

Et si l'insomnie était génétique ?

Et si l'insomnie était génétique  ?

Syndrome de Kleine Levin : la maladie de la Belle au Bois Dormant

Syndrome de Kleine Levin : la maladie de la Belle au Bois Dormant
  • Page précédente
  • 1
  • 2
  • 3
  • 4
  • 5
  • 6
  • 7
  • …
  • 10
  • 11
  • 12
  • 15
  • 20
  • 25
  • 41
  • Page suivante
Allo Docteurs, l'info santé en vidéo
  • Recettes
  • Rappel produit
  • Le Mag de la Santé
  • Cancer
  • Médicaments

  • Qui sommes-nous ?
  • Mentions légales
  • Politiques de confidentialité
  • Charte d'utilisation
  • Index thématique
  • Flux RSS
  • Flux Atom

Retrouvez-nous sur