Allo Docteurs L'info santé en vidéo
  • Vidéos
  • Actus
  • Fiches santé
  • Tests
  • À la une
    • Médicaments
    • Maladies
    • Urgences
    • Bobos du quotidien
    • Société
    • Voir tout

    Un tiktokeur devient alcoolique pour prouver qu'il est facile d'arrêter... et perd le contrôle

    Un tiktokeur devient alcoolique pour prouver qu'il est facile d'arrêter... et perd le contrôle
    Top sujets
    • Covid
    • Vaccins
    • Chirurgie
    • Nutrition
    • Psycho
    • Sexo
    • Sport santé
    • Animaux
    • Voir tout

    Couvertures lestées pour un meilleur sommeil : on démêle le vrai du faux

    À quoi servent vraiment les couvertures lestées ?
    Top sujets
    • Sexo
    • Sommeil
    • Bien-être - Psycho
    • Alimentation
    • Sport et santé
    • Environnement et santé
    • Grossesse
    • Enfant
    • Procréation
    • Voir tout

    Ondes, chaleur... ces "super caleçons" peuvent-ils vous aider à être plus fertiles ?

    Des "super caleçons" pour être plus fertile ?
    Top sujets
    • Diabète de grossesse
    • Accouchement
    • Vaccin
    • Produit sucré
    • Ethique, Bioéthique
    • Maladies nutritionnelles
  • Émissions
  • Accueil
  • Auteurs
  • Dr Charlotte Tourmente
Dr Charlotte Tourmente - Page 27

Dr Charlotte Tourmente

Journaliste, médecin et sexologue

Ecrivez à Dr Charlotte Tourmente
Page 27

Incontinence urinaire : lever le tabou

Logo de l'association française d'urologie pour la Semaine de la Continence Urinaire (du 21 au 27 mars 2016)

L'exercice physique, plus efficace qu'un régime pour réduire l'appétit ?

L'exercice physique, plus efficace qu'un régime pour réduire l'appétit ?

Lubrification vaginale : une expression du désir féminin

Lubrification vaginale : une expression du désir féminin

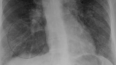
La sarcoïdose, la maladie des granulomes

Radiographie du thorax d'une personne atteinte de sarcoïdose, la zone cerclée présente une accumation de granulomes. (cc-by-sa Jmh649)

La réalité virtuelle s'invite au bloc opératoire

La réalité virtuelle s'invite au bloc opératoire

La syllogomanie ou l'accumulation pathologique d'objets

Salon d'une personne souffrant de syllogomanie, à Bochum, Allemagne. (cc-by-sa Maschinenjunge)

Retrouver l'érection grâce aux cellules souches

Vidéo : Entretien avec le Pr René Yiou, urologue, Inserm-Hôpital Henri-Mondor (Créteil), invité du Magazine de la santé le 28 janvier 2016. Image d'illustration.

Migrantes : le cri d'alarme de Gynécologie sans frontières

Migrantes : le cri d'alarme de Gynécologie sans frontières

"Sur son dos" : les enfants atteints de cancer dansent et chantent avec Grand Corps Malade

"Sur son dos" : les enfants atteints de cancer dansent et chantent avec Grand Corps Malade

Un serious game pour prévenir le diabète de type 2

"Rififi à Daisy Town" : un serious game pour prévenir le diabète de type 2

Ados : comment leur parler des violences sexuelles ?

la prévention des violences sexuelles est impérative devant leur fréquence

Ménopause : davantage de troubles intimes

Ménopause : davantage de troubles intimes

La crise du milieu de vie, un nouveau départ ?

La crise du milieu de vie, un nouveau départ ?

Le magnésium, un oligo-élément vital

Le magnésium, un oligo-élément vital

Baisse de désir, les hommes aussi !

Baisse de désir, les hommes aussi !

Cadeaux coquins pour Noël sensuel…

Cadeaux coquins pour Noël sensuel…

Sida : les jeunes négligent l'utilisation du préservatif

Sida : les jeunes négligent l'utilisation du préservatif

Vivre avec une MICI

Vivre avec une MICI

3.000 hommes seront stérilisés aujourd'hui dans le monde

Anatomie du sexe masculin

Cancer du pancréas, quelles avancées ?

Aux Etats-Unis, 53.670 nouveaux cas de cancer du pancréas seront diagnostiqués en 2017 et plus de 43.000 personnes en décéderont.
  • Page précédente
  • 1
  • 5
  • 10
  • 20
  • …
  • 25
  • 26
  • 27
  • 28
  • 29
  • …
  • 32
  • 33
  • 34
  • 35
  • Page suivante
Allo Docteurs, l'info santé en vidéo
  • Recettes
  • Rappel produit
  • Le Mag de la Santé
  • Cancer
  • Médicaments

  • Qui sommes-nous ?
  • Mentions légales
  • Politiques de confidentialité
  • Charte d'utilisation
  • Index thématique
  • Flux RSS
  • Flux Atom

Retrouvez-nous sur