Une femme fait un pneumothorax à cause d’une séance d’acupuncture

Une aiguille d’acupuncture a provoqué un pneumothorax chez une patiente de 79 ans. Admise en urgence à l’hôpital, la pose d’un drain a été nécessaire pour évacuer l’air bloqué entre son poumon et sa cage thoracique.

La rédaction d'Allo Docteurs
La rédaction d'Allo Docteurs
Rédigé le , mis à jour le
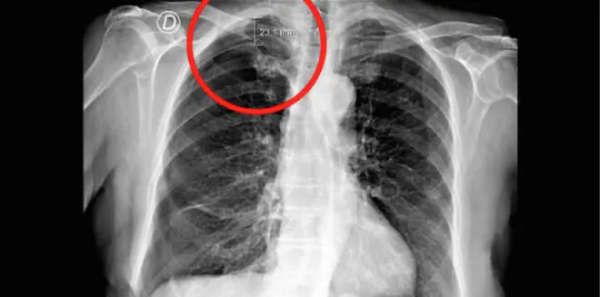
Le pneumothorax est mis en évidence dans le cercle rouge. Il correspond à une poche d'air de 23 mm entre le poumon et la cage thoracique.
Le pneumothorax est mis en évidence dans le cercle rouge. Il correspond à une poche d'air de 23 mm entre le poumon et la cage thoracique.  —  Crédits Photo : © Costa Corado et al., 2019, BMJ Case Reports

Une séance d’acupuncture qui a mal tourné. Des médecins de l’hôpital universitaire de Lisboa Central (Lisbonne, Portugal) rapportent dans le BMJ Case Reports du 11 juin 2019 le cas d’une Portugaise de 79 ans admise aux urgences avec des douleurs thoraciques et une gêne respiratoire provoquées par un pneumothorax. En cause : une blessure provoquée par une aiguille d’acupuncture.

A lire aussi : Pneumothorax : quand l'air s'échappe des poumons

De l’air entre le poumon et la cage thoracique

Deux jours plus tôt, cette patiente a effectué une séance d’acupuncture destinée à soulager un mal de dos chronique. Pendant la consultation, elle ressent une douleur aiguë et soudaine au niveau de l’épaule droite quand le praticien lui insère une aiguille dans la région scapulaire, située entre l’omoplate, les cervicales et la clavicule. Mais la douleur ne passe pas. Elle consulte donc son médecin généraliste et effectue une radio thoracique. Cet examen révèle un pneumothorax du côté droit, c’est-à-dire la présence d’air entre le poumon et la cage thoracique sur une hauteur de 23 millimètres.

Plus précisément, le poumon est entouré par la plèvre. Cette enveloppe est constituée de deux feuillets : la plèvre pariétale, vers les côtes, et la plèvre viscérale accolée aux poumons. En temps normal, ces deux feuillets sont collés. Mais en cas de pneumothorax, la paroi du poumon se perfore et laisse échapper une bulle d’air venant de ces organes et qui se place entre la paroi du poumon et la plèvre viscérale, comprimant le poumon et générant alors douleur et gêne respiratoire.

Un drain pour évacuer l’air

Les médecins de l’hôpital de Lisbonne ont immédiatement placé un drain au niveau du pneumothorax pour évacuer l’air bloqué, soulageant ainsi les symptômes de la septuagénaire et entraînant l’expansion du poumon comprimé. Le drain a pu être retiré dès le deuxième jour de l’hospitalisation et la patiente est sortie de l’hôpital le troisième jour.

1,5% des incidents liés à l’acupuncture

Mais cet événement n’est pas exceptionnel. Selon une vaste étude publiée en 2016 par des médecins chinois qui ont passé au crible les publications scientifiques sur le sujet, "le pneumothorax est une complication fréquente liée à l'acupuncture". De même, selon le système de santé britannique, le National Health Service (NHS), les pneumothorax représentent 1,5% des incidents liés à la pratique de l’acupuncture.

D’autres effets, moins sévères, ont été répertoriés : l’oubli d’aiguilles dans le corps du patient, les vertiges, les nausées et les pertes temporaires de la conscience en font partie. C’est pourquoi "les acupuncteurs et les médecins doivent être conscients du risque d’évènements indésirables consécutifs à une séance d’acupuncture", appuient enfin les médecins de l’hôpital de Lisbonne dans leur publication.