Allo Docteurs L'info santé en vidéo
  • Vidéos
  • Actus
  • Fiches santé
  • Tests
  • À la une
    • Médicaments
    • Maladies
    • Urgences
    • Bobos du quotidien
    • Société
    • Voir tout

    Rappel produit : attention à ces jus de fruits qui ont peut-être fermenté

    Rappel conso : jus de fruits
    Top sujets
    • Covid
    • Vaccins
    • Chirurgie
    • Nutrition
    • Psycho
    • Sexo
    • Sport santé
    • Animaux
    • Voir tout

    Faut-il laver la viande avant de la cuisiner ?

    Faut-il sa viande avant de la cuisiner ?
    Top sujets
    • Sexo
    • Sommeil
    • Bien-être - Psycho
    • Alimentation
    • Sport et santé
    • Environnement et santé
    • Grossesse
    • Enfant
    • Procréation
    • Voir tout

    Pourquoi les enfants ont parfois des taches noires sur les dents ?

    pourquoi les enfants ont parfois des taches noires sur les dents ?
    Top sujets
    • Diabète de grossesse
    • Accouchement
    • Vaccin
    • Produit sucré
    • Ethique, Bioéthique
    • Maladies nutritionnelles
  • Émissions
  • Accueil
  • Thématiques
  • Poumons

Poumons

Page 2

La protéinose alvéolaire, une maladie rare des poumons

La protéinose alvéolaire, une maladie rare des poumons

Covid : retrouver le souffle… en chantant !

Image d'illustration.

Covid : pourquoi les poumons des fumeurs sont davantage infectés

Image d'illustration.

Première greffe pulmonaire réalisée sur un patient covid en France

Première greffe pulmonaire réalisée sur un patient covid en France

Elle guérit d’une forme grave de Covid grâce à une double greffe de poumons

Elle guérit d’une forme grave de Covid grâce à une double greffe de poumons

Diaphragme : le muscle du souffle

Le muscle du diaphragme permet aux poumons de bien se remplir et de se vider correctement.

Cigarette électronique : un nouveau type de lésion pulmonaire observé au Canada

Cigarette électronique : un nouveau type de lésion pulmonaire observé au Canada

Pneumonie : un enfant meurt toutes les 39 secondes dans le monde

Pneumonie : un enfant meurt toutes les 39 secondes dans le monde

Tuberculose : baisse drastique du prix d’un médicament dans 100 pays

Tuberculose : baisse drastique du prix d’un médicament dans 100 pays

Asthmatiques, gare à votre empreinte carbone !

400.000 personnes sont mortes d'asthme en 2015.

Incendies en Amazonie : les habitants sont devenus des "fumeurs passifs"

Incendies en Amazonie : les habitants sont devenus des "fumeurs passifs"

Greffe d’organes : redonner vie à des poumons "imparfaits"

Greffe d’organes : redonner vie à des poumons "imparfaits"

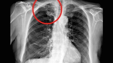
Une femme fait un pneumothorax à cause d’une séance d’acupuncture

Le pneumothorax est mis en évidence dans le cercle rouge. Il correspond à une poche d'air de 23 mm entre le poumon et la cage thoracique.

La pollution automobile augmente les passages aux urgences

La pollution automobile augmente les passages aux urgences

Infection bactérienne : une jeune fille sauvée grâce à des phages

Les trois phages utilisés contre l'infection bactérienne d'Isabelle Carnell-Holdaway.

Cancer du poumon : la révolution de l'immunothérapie

Cancer du poumon : la révolution de l'immunothérapie

Greffé des deux poumons, un chanteur d'opéra remonte sur scène

Greffé des deux poumons, un chanteur d'opéra remonte sur scène

Votre pommeau de douche est-il un nid à bactéries ?

"Les douchettes abritent d’abondants foyers mycobactériens"
  • Page précédente
  • 1
  • 2
  • 3
  • 4
  • …
  • 7
  • 8
  • 9
  • 10
  • 11
  • 12
  • 13
  • 14
  • 15
  • 16
  • Page suivante
Allo Docteurs, l'info santé en vidéo
  • Recettes
  • Rappel produit
  • Le Mag de la Santé
  • Cancer
  • Médicaments

  • Qui sommes-nous ?
  • Mentions légales
  • Politiques de confidentialité
  • Charte d'utilisation
  • Index thématique
  • Flux RSS
  • Flux Atom

Retrouvez-nous sur