Allo Docteurs L'info santé en vidéo
  • Vidéos
  • Actus
  • Fiches santé
  • Tests
  • À la une
    • Médicaments
    • Maladies
    • Urgences
    • Bobos du quotidien
    • Société
    • Voir tout

    Un tiktokeur devient alcoolique pour prouver qu'il est facile d'arrêter... et perd le contrôle

    Un tiktokeur devient alcoolique pour prouver qu'il est facile d'arrêter... et perd le contrôle
    Top sujets
    • Covid
    • Vaccins
    • Chirurgie
    • Nutrition
    • Psycho
    • Sexo
    • Sport santé
    • Animaux
    • Voir tout

    Couvertures lestées pour un meilleur sommeil : on démêle le vrai du faux

    À quoi servent vraiment les couvertures lestées ?
    Top sujets
    • Sexo
    • Sommeil
    • Bien-être - Psycho
    • Alimentation
    • Sport et santé
    • Environnement et santé
    • Grossesse
    • Enfant
    • Procréation
    • Voir tout

    Ondes, chaleur... ces "super caleçons" peuvent-ils vous aider à être plus fertiles ?

    Des "super caleçons" pour être plus fertile ?
    Top sujets
    • Diabète de grossesse
    • Accouchement
    • Vaccin
    • Produit sucré
    • Ethique, Bioéthique
    • Maladies nutritionnelles
  • Émissions
  • Accueil
  • Famille
  • Grossesse

Grossesse

Page 17

Devenir mère à 40 ans : quelle différence ?

Devenir mère à 40 ans : quelle différence ?

Grands prématurés : des risques plus importants de troubles psychiques ?

Grands prématurés : des risques plus importants de troubles psychiques ?

Du sucre pour accoucher plus rapidement ?

Du sucre pour accoucher plus rapidement ?

Stress : comment se détendre lorsqu'on est enceinte ?

Stress : comment se détendre lorsqu'on est enceinte ?

Fibromes utérins : quels risques pour la grossesse et l'accouchement ?

Fibromes utérins : quels risques pour la grossesse et l'accouchement ?

Faut-il éviter de consommer certaines tisanes quand on est enceinte ?

Faut-il éviter de consommer certaines tisanes quand on est enceinte ?

Ces anti-inflammatoires à proscrire absolument après le 5e mois de grossesse

Ces anti-inflammatoires à proscrire absolument après le 5e mois de grossesse

Toux pendant la grossesse : quels risques pour le bébé ?

Toux pendant la grossesse : quels risques pour le bébé ?

Rendre disponibles les seuls vaccins obligatoires ?

Rendre disponibles les seuls vaccins obligatoires ?

Qu'est-ce que la gym hypopressive ?

Qu'est-ce que la gym hypopressive ?

Grossesse et alcool : des conséquences dramatiques pour le foetus

Grossesse et alcool : des conséquences dramatiques pour le foetus

Acné pendant la grossesse : quelles solutions ?

Acné pendant la grossesse : quelles solutions ?

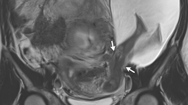
Lorsque le foetus se développe en partie hors de l'utérus

Source : Uterine Rupture with Protruded Legs in a Large Amniocele. P.E. Bouet, & C. Herondelle. NEJM, 22 déc. 2016. doi:10.1056/NEJMicm1603843

Faut-il baisser le numerus clausus des sages-femmes ?

Faut-il baisser le numerus clausus des sages-femmes ?

Perturbateurs endocriniens : des traces chez les femmes enceintes

Perturbateurs endocriniens : des traces chez les femmes enceintes

Accouchement : l'oxytocine est-elle trop utilisée ?

Accouchement : l'oxytocine est-elle trop utilisée ?

Quatre femmes sur dix atteintes de stress post-traumatique après une fausse couche

Quatre femmes sur dix atteintes de stress post-traumatique après une fausse couche

Comment expliquer des douleurs pendant les rapports après un accouchement ?

Comment expliquer des douleurs pendant les rapports après un accouchement ?

Dépakine® et grossesse : quels sont les risques ?

Dépakine® et grossesse : quels sont les risques ?

Un nouveau-né sur vingt a une mère de 40 ans ou plus

Un nouveau-né sur vingt a une mère de 40 ans ou plus
  • Page précédente
  • 1
  • 4
  • 5
  • 10
  • …
  • 15
  • 16
  • 17
  • 18
  • 19
  • …
  • 25
  • 30
  • 40
  • 41
  • Page suivante
Allo Docteurs, l'info santé en vidéo
  • Recettes
  • Rappel produit
  • Le Mag de la Santé
  • Cancer
  • Médicaments

  • Qui sommes-nous ?
  • Mentions légales
  • Politiques de confidentialité
  • Charte d'utilisation
  • Index thématique
  • Flux RSS
  • Flux Atom

Retrouvez-nous sur