Lorsque le foetus se développe en partie hors de l'utérus
Ce cliché étonnant, publié ce mois-ci dans le New England Journal of Medicine, présente un rarissime cas de hernie du sac amniotique : après avoir traversé la paroi utérine, les jambes du fœtus ont poursuivi leur développement hors de l'utérus.

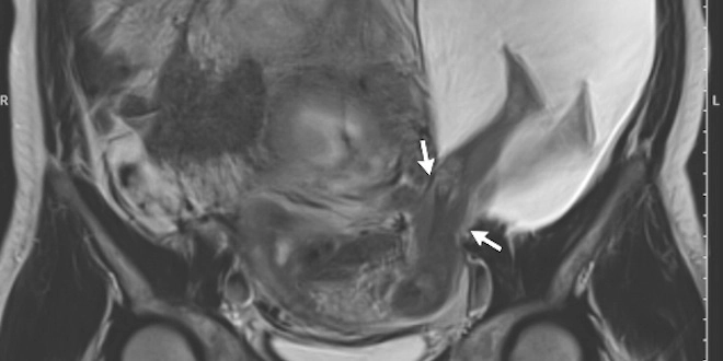
L'image, publiée le 22 décembre dans la revue médicale New England Journal of Medicine, a été remarquée et commentée par notre confrère Marc Gozlan sur son blog Réalités biomédicales : il s'agit de l'IRM du ventre d'une femme de 33 ans, dans sa 22e semaine de grossesse. Une anomalie saute rapidement aux yeux : les jambes du fœtus se situent hors de l’utérus, suite à une hernie (voir encadré) du sac amniotique au travers du muscle utérin - rompu sur 2,5 cm.
Dans les notes accompagnant le cliché, les auteurs notent que "la patiente et son partenaire ont été informés des risques potentiels de ces découvertes", notamment la rupture utérine complète, l'accrétion du placenta, une naissance prématurée, et la nécessité de recourir à une ablation de l'utérus (hystérectomie).
Ceux-ci ont opté pour une poursuite de la grossesse. À 30 semaines, une échographie a révélé que la rupture de la paroi utérine mesurait désormais cinq centimètres. La hernie incorporait désormais non seulement les jambes, mais également l'abdomen du fœtus. Une césarienne a été réalisée, actant la naissance, en septembre 2015, d’un bébé de 1,385 kg, en bonne santé.
La paroi utérine de la mère a été réparée, et celle-ci a pu quitter l'hôpital cinq jours plus tard.
La rupture de la paroi utérine a vraisemblablement été favorisée du fait d'une fragilisation répétée, suite à cinq césariennes antérieures. Se référant à une étude néerlandaise, le journaliste Marc Gozlan note que le risque de rupture utérine est multiplié par six lorsque l'utérus présente ce type de cicatrices (5,1 évènements pour 10.000 grossesses, contre 0,8 cas pour 10.000). Moins d'une trentaine de cas de rupture utérine associée à une hernie du sac amniotique seraient recensés dans la littérature médicale depuis le début des années 1980.
Source : Uterine Rupture with Protruded Legs in a Large Amniocele. P.E. Bouet, & C. Herondelle. NEJM, 22 déc. 2016. doi:10.1056/NEJMicm1603843
Le terme hernie désigne le déplacement, partiel ou total, d'un organe hors de la cavité qui le contient normalement.