Elle se rend aux urgences, les médecins lui retirent un kyste de 15 cm sur le crâne
Une Indienne de 52 ans s’est fait retirer un énorme kyste rempli de cheveux, de graisse et de kératine. Elle a déclaré aux médecins qu’elle vivait avec cette protubérance sur son crâne depuis l’enfance.
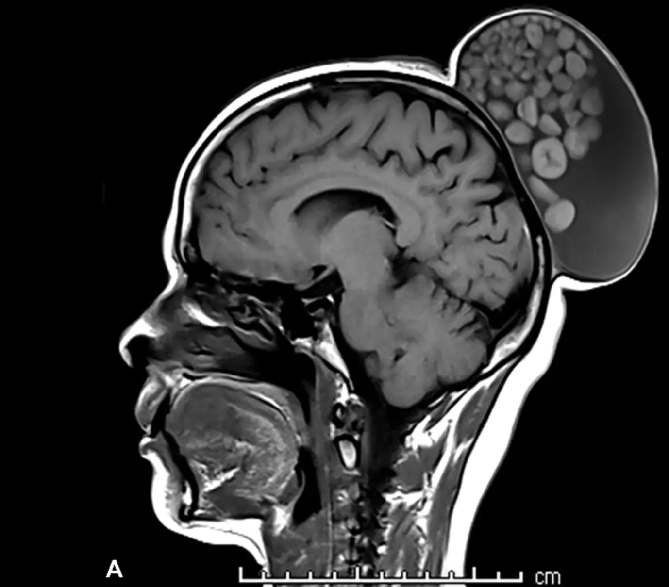
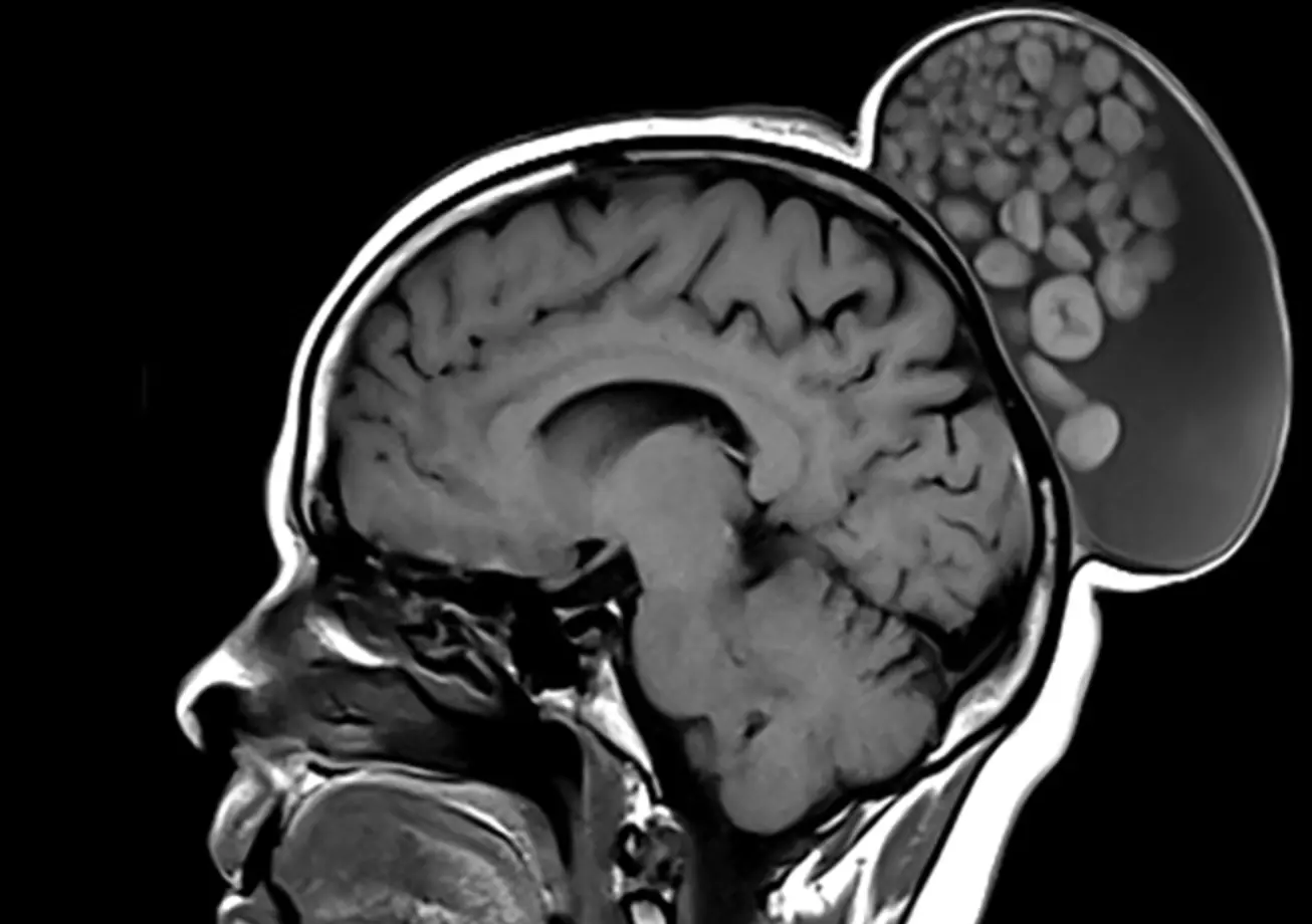
Un kyste ressemblant à "un sac de billes". C’est l’étonnant cas clinique qu’a partagé une équipe de chercheurs indiens de l'Institut des sciences médicales supérieures Sri Sathya Sai dans la revue médicale Radiology, indique le New York Post.
Les scientifiques expliquent qu’une femme âgée de 52 ans, originaire de Bangalore, dans le sud de l’Inde, s’est présentée à l’hôpital pour retirer un kyste de plusieurs centimètres de long sur son crâne. Elle explique aux médecins qui la prennent en charge qu’elle vit avec cette protubérance depuis qu’elle est enfant.

15 cm de long et 10 cm de large
Pourquoi n’a-t-elle jamais cherché à la retirer auparavant ? Les chercheurs n’ont pas précisé pourquoi cette femme a attendu si longtemps pour se faire examiner, mais ils ont toutefois indiqué que ce kyste était parfaitement indolore pour leur patiente.
Lorsqu’elle a enfin cherché à obtenir une aide médicale, le kyste avait grossi jusqu’à mesurer plus de 15 cm de long et 10 cm de large. L’équipe médicale a donc décidé d’opérer leur patiente. Lors de son ablation, ils ont remarqué que le kyste était rempli de liquide, de cheveux, de molécules grasses et d’amas de kératine “de tailles variées”.

Après analyse, il s’est avéré qu’il s’agissait d’un kyste dermoïde, soit une “un néoplasme (ndlr : une tumeur) cutané bénin et rare”, indique Orpha.net, le portail des maladies rares. Les symptômes varient en fonction de la localisation du kyste.
À lire aussi : Le chalazion, un kyste des paupières parfois impressionnant
Comment se forment les kystes dermoïdes ?
Les kystes dermoïdes se forment généralement dès la naissance et se développent sur le crâne ou dans le cou, mais également dans les ovaires, les testicules ou la colonne vertébrale. Ils sont généralement inoffensifs et indolores.
Ils peuvent néanmoins entraîner des complications sur les parties du corps environnantes. Une intervention chirurgicale est alors nécessaire. Dans ce cas-ci, les médecins ont suivi l'évolution de l’état de santé de leur patiente pendant six mois après l'ablation du kyste, sans noter "de récidive".
