Pour traiter son mal de dos, il s’injecte son propre sperme
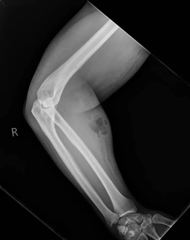
Un Irlandais de 33 ans a expérimenté ce "traitement" pendant 18 mois. Un large abcès sous-cutané s’est étendu sur son bras droit.

C’est la première fois qu’un tel cas est rapporté dans une revue médicale. En Irlande, un trentenaire se plaignant de douleurs chroniques dans le bas du dos s’est présenté à l’Adelaide and Meath Hospital de Dublin avec une large bosse sur le bras droit. Après plusieurs examens approfondis, les médecins ont réalisé qu’il s’agissait d’une large papule érythémateuse. Interrogé, l’intéressé a raconté s’être injecté son propre sperme dans le bras, dans l’espoir de soigner son mal de dos. Une "cure" inventée par ses soins qui n’a jamais fait l’objet d’aucune expérimentation… Le cas a été publié dans le Irish Medical Journal.
Des injections mensuelles pendant un an et demi
Pendant un an et demi, le trentenaire s’était injecté – en intraveineuse et en intramusculaire – sa propre semence tous les mois, grâce à une seringue achetée sur Internet. Un abcès sous-cutané s’est créé et s’est progressivement étendu le long de son bras, et le sperme s’est propagé dans les tissus mous : l'homme souffrait d'une cellulite, une infection bactérienne. Immédiatement, les médecins ont administré à l’homme de 33 ans un traitement antibiotique intraveineux.
Les médecins indiquent qu’une étude sur les effets de l’injection de sperme chez les rats et les lapins existe, mais qu’aucun cas d’injection de sperme chez l’humain n’a jamais été documenté dans la littérature scientifique. Les auteurs du papier, qui ont procédé à des recherches sur Internet, n’ont pas non plus trouvé d’informations relatives à un tel "traitement" expérimental… D’après eux, les seules choses qui s’en rapprochent sont des tentatives de suicide avec injection d’essence, d’allume-feu liquide, de mercure ou d’acide hydrochlorique.
Deux leçons doivent être tirées de cette absurde expérience, affirment les médecins. Premièrement, il est dangereux de se faire piquer par une personne non expérimentée. Ensuite, s’auto-administrer un pseudo traitement inventé de toutes pièces induit de graves risques pour la santé. Un conseil donc : si l’idée de vous injecter du sperme dans le bras vous séduit, oubliez tout de suite !