Allo Docteurs L'info santé en vidéo
  • Vidéos
  • Actus
  • Fiches santé
  • Tests
  • À la une
    • Médicaments
    • Maladies
    • Urgences
    • Bobos du quotidien
    • Société
    • Voir tout

    Quotidien ou thérapeutique, quel bain de bouche utiliser et comment le choisir ?

    Quotidien ou thérapeutique, quel bain de bouche utiliser et comment le choisir ?
    Top sujets
    • Covid
    • Vaccins
    • Chirurgie
    • Nutrition
    • Psycho
    • Sexo
    • Sport santé
    • Animaux
    • Voir tout

    Pochés, à la coque ou en omelette : comment réussir la cuisson des œufs ?

    Pochés, à la coque ou en omelette : comment réussir la cuisson des œufs ?
    Top sujets
    • Sexo
    • Sommeil
    • Bien-être - Psycho
    • Alimentation
    • Sport et santé
    • Environnement et santé
    • Grossesse
    • Enfant
    • Procréation
    • Voir tout

    Les stérilisateurs de biberons sont-ils vraiment utiles ?

    Les stérilisateurs de biberons sont-ils vraiment utiles ?
    Top sujets
    • Diabète de grossesse
    • Accouchement
    • Vaccin
    • Produit sucré
    • Ethique, Bioéthique
    • Maladies nutritionnelles
  • Émissions
  • Accueil
  • Santé
  • Société

Société

Page 126

Faut-il souscrire une mutuelle quand on est étudiant ?

Faut-il souscrire une mutuelle quand on est étudiant ?

Comment savoir si un médecin est conventionné secteur 1 ou 2 ?

Comment savoir si un médecin est conventionné secteur 1 ou 2 ?

L'hôpital malade du harcèlement

L'hôpital malade du harcèlement

Se soigner pour moins cher : quelle alternative aux dépassements d'honoraires ?

Se soigner pour moins cher : quelle alternative aux dépassements d'honoraires ?

Relaxe pour l'octogénaire qui a aidé sa femme à mourir

Relaxe pour l'octogénaire qui a aidé sa femme à mourir

Le scandale de l'Agreal

Le scandale de l'Agreal

Selon le Sénat, le trou de la Sécu est comblé... avec du vent

Selon le Sénat, le trou de la Sécu est comblé... avec du vent

Infirmiers : le gouvernement veut les autoriser à vacciner

Infirmiers : le gouvernement veut les autoriser à vacciner

Schizophrène meurtrier : 18 mois requis contre le psychiatre

Schizophrène meurtrier : 18 mois requis contre le psychiatre

Malaise à l'hôpital : les infirmiers et personnels hospitaliers en grève

Malaise à l'hôpital : les infirmiers et personnels hospitaliers en grève

Des infirmières américaines au secours des sinistrés de 14-18

Des infirmières américaines au secours des sinistrés de 14-18

Grève des infirmiers : les raisons de la colère

Grève des infirmiers : les raisons de la colère (image d'illustration)

Fermeture des Urgences du Thann : 500 personnes manifestent

Fermeture des Urgences du Thann : 500 personnes manifestent

Essai clinique Biotrial : des données médicales rendues publiques

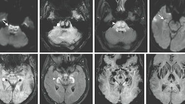
IRM cérébraux du patient décédé lors de l'essai clinique de Rennes. (doi:10.1056/NEJMoa1604221)

Vienne : six mois ferme contre l'agresseur d'une femme médecin

Vienne : six mois ferme contre l'agresseur d'une femme médecin

Primaire d'Europe Écologie-Les Verts : les candidats et la santé

Primaire d'Europe Écologie-Les Verts : les candidats et la santé

Normandie : la région veut fermer plusieurs écoles d'infirmières

Grève des infirmiers : les raisons de la colère (image d'illustration)

L’Assemblée autorise certains médecins à travailler au delà de 72 ans

L’Assemblée autorise certains médecins à travailler au delà de 72 ans

Maladie de Lyme : des médecins poursuivis

Choix des antibiotiques, durée des traitements, diagnostic… tout a été défini officiellement en 2006 lors d'une conférence de consensus

Procès de Colmar : deux ans avec sursis pour avoir euthanasié sa femme

Procès de Colmar : deux ans avec sursis pour avoir euthanasié sa femme
  • Page précédente
  • 1
  • 25
  • 50
  • 100
  • …
  • 124
  • 125
  • 126
  • 127
  • 128
  • …
  • 140
  • 150
  • 175
  • 179
  • Page suivante
Allo Docteurs, l'info santé en vidéo
  • Recettes
  • Rappel produit
  • Le Mag de la Santé
  • Cancer
  • Médicaments

  • Qui sommes-nous ?
  • Mentions légales
  • Politiques de confidentialité
  • Charte d'utilisation
  • Index thématique
  • Flux RSS
  • Flux Atom

Retrouvez-nous sur