Allo Docteurs L'info santé en vidéo
  • Vidéos
  • Actus
  • Fiches santé
  • Tests
  • À la une
    • Médicaments
    • Maladies
    • Urgences
    • Bobos du quotidien
    • Société
    • Voir tout

    Comment savoir si vos vieux plombages dentaires sont sûrs et quand les retirer

    Vos vieux plombages dentaires sont-ils sûrs ?
    Top sujets
    • Covid
    • Vaccins
    • Chirurgie
    • Nutrition
    • Psycho
    • Sexo
    • Sport santé
    • Animaux
    • Voir tout

    Quels sont les bienfaits du fruit du dragon ?

    Quels sont les bienfaits du fruit du dragon ?
    Top sujets
    • Sexo
    • Sommeil
    • Bien-être - Psycho
    • Alimentation
    • Sport et santé
    • Environnement et santé
    • Grossesse
    • Enfant
    • Procréation
    • Voir tout

    Produits laitiers pour les enfants : on vous aide à bien les choisir

    comment bien choisir les yaourts pour enfants ?
    Top sujets
    • Diabète de grossesse
    • Accouchement
    • Vaccin
    • Produit sucré
    • Ethique, Bioéthique
    • Maladies nutritionnelles
  • Émissions
  • Accueil
  • Thématiques
  • Chimiothérapie

Chimiothérapie

Page 8

Cancer : les études cliniques sont-elles satisfaisantes ?

Cancer : les études cliniques sont-elles satisfaisantes ?

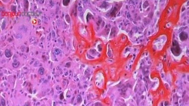
Cancer colorectal : un bain de chimiothérapie contre les récidives

Attention, images de chirurgie ! La chimiothérapie hyperthermique intrapéritonéale combine chirurgie et bain de chimiothérapie.

Cancer : mieux informer sur les risques d'infertilité liés aux traitements

Cancer : mieux informer sur les risques d'infertilité liés aux traitements

Existe-t-il des facteurs limitants pour la greffe ?

Existe-t-il des facteurs limitants pour la greffe ?

Chimiothérapie : retrouver le goût de manger

Le Dr Philippe Pouillart organise des ateliers cuisine pour que manger redevienne un plaisir.

Agir sur le système immunitaire pour améliorer l'efficacité d'une chimio

Agir sur le système immunitaire pour améliorer l'efficacité d'une chimio

Chimiothérapie avant ou après la chirurgie : sur quels critères ?

Chimiothérapie avant ou après la chirurgie : sur quels critères ?

Cancer du pancréas : non pas une, mais plusieurs maladies

Le diabète de type 1 provoque la destruction des cellules productrices d'insuline dans le pancrés

Cancer, où en est la recherche

Cancer, où en est la recherche

Un espoir dans l'infertilité suite aux traitements anti-cancéreux

Un espoir dans l'infertilité suite aux traitements anti-cancéreux

Cancer : une nouvelle molécule contre les tumeurs résistantes

Cancer : une nouvelle molécule contre les tumeurs résistantes

L'acupuncture est-elle efficace contre les effets secondaires de la chimio ?

L'acupuncture est-elle efficace contre les effets secondaires de la chimio ?

Les douleurs musculaires, un effet secondaire de la chimiothérapie ?

Les douleurs musculaires, un effet secondaire de la chimiothérapie ?

Le jeûne peut-il être bénéfique face aux effets secondaires d'une chimio ?

Le jeûne peut-il être bénéfique face aux effets secondaires d'une chimio ?

Chimiothérapie : que manger ou boire pour diminuer les nausées ?

Chimiothérapie : que manger ou boire pour diminuer les nausées ?

Chimiothérapie : quel impact sur la sexualité ?

Chimiothérapie : quel impact sur la sexualité ?

Comment soigne-t-on les cancers non opérables ?

Comment soigne-t-on les cancers non opérables ?

Des aimants contre le cancer

Des aimants contre le cancer
  • Page précédente
  • 1
  • 2
  • 3
  • 4
  • 5
  • 6
  • 7
  • 8
  • 9
  • 10
  • 11
  • Page suivante
Allo Docteurs, l'info santé en vidéo
  • Recettes
  • Rappel produit
  • Le Mag de la Santé
  • Cancer
  • Médicaments

  • Qui sommes-nous ?
  • Mentions légales
  • Politiques de confidentialité
  • Charte d'utilisation
  • Index thématique
  • Flux RSS
  • Flux Atom

Retrouvez-nous sur