Les pouvoirs extraordinaires de la salive
On connait bien le rôle de la salive dans la digestion mais on sait moins qu’elle protège nos dents… Comment la salive agit-elle sur la santé bucco-dentaire ? Les réponses de notre spécialiste, Marie Anton.

La salive est une grande protectrice de notre bouche. C’est un peu l’ "arrosage automatique" de la cavité buccale. Elle est constituée à 99% d’eau et on en produit jour et nuit, l'équivalent d’1 litre par jour en moyenne. Elle va ainsi continuellement nettoyer et protéger notre bouche et nos dents contre les agressions et nos dents quand on a mangé ou bu.
Éviter de grignoter entre les repas afin d’éviter les caries
Après une prise alimentaire, il faut laisser le temps à la salive de nettoyer la bouche. La salive a normalement un pH neutre mais lorsqu’on consomme des aliments sucrés ou acides cela favorise l’acidification. Les attaques acides sont responsables de déminéralisation de l’émail qui à termes provoquent des érosions ou des caries. La salive est capable de lutter à double titre contre les méfaits de l’acidité parce qu’elle contient des petites particules : les ions.

Certains permettent de faire remonter le pH donc de neutraliser l’acidité. D’autres ont un pouvoir réparateur et se déposent puis s’incrustent dans la structure de l’émail pour le réparer, le reminéraliser quand le pH est remonté.

La salive a un rôle antibactérien
Elle contient des cellules et des anticorps qui sont capables de détruire ou de piéger les bactéries buccales pour qu’elles ne se fixent pas sur les surfaces dentaires. C’est le cas pour les bactéries cariogènes mais aussi pour celles qui sont responsables des maladies parodontales c’est-à-dire les maladies des gencives et de l’os qui soutiennent de la dent.
Comment trouver les glandes salivaires ?
La salive est sécrétée par les glandes salivaires. Il y en quatre types au total. Globalement, quand on trouve du tartre sur les dents, on sait qu’il y a un canal salivaire pas loin. C’est le cas derrière les dents de devant en bas.

Le tartre se loge principalement juste derrière, sous la langue, où se trouvent les canaux des glandes submandibulaires : ce sont deux petits renflements…
C’est aussi vrai au niveau des premières molaires du haut près desquelles abouchent les canaux des glandes parotides sur la surface interne de la joue : il y a souvent du tartre.

Pourquoi a-t-on plus de tartre à des endroits bien précis ?
La salive contient des ions minéraux. Ils peuvent se fixer à la plaque dentaire. Si on ne la retire pas régulièrement en brossant, le tout durcit et cela forme le tartre. C’est un peu comme le calcaire dans les machines à laver. C’est la raison pour laquelle il faut recommencer les détartrages tous les ans car le tartre revient sans cesse.
A part l'inconvénient du tartre… la salive à un rôle très important
La lubrification permet aux joues, à la langue, aux dents et aux lèvres de glisser les unes sur les autres lorsqu’on mange ou lorsqu’on parle. Ce qu’on sait moins c’est que la façon dont on avale notre salive peut avoir une incidence sur la croissance des os de la mâchoire.
Cela parait surprenant, mais on avale entre 2 000 et 3 000 fois par jour. Ça fait deux fois par minute de jour comme de nuit.
Comme la langue est composée de muscles puissants, ses appuis sur les dents et les os influencent leur position et leur développement. Si la position de la langue n’est pas bonne pendant la déglutition, la croissance peut être perturbée. Le seul moment visible de la déglutition à ce moment-là, c’est au niveau de la gorge. Dans ce cas, c’est une déglutition mature ou adulte.
La déglutition des enfants
Au cours des premiers mois de la vie, les dents sont absentes. Les bébés ont recours à la succion pour se nourrir : ils tètent. Ils vont contracter les muscles des joues et des lèvres pour faire un joint étanche autour du sein ou du biberon afin que les liquides ne s’échappent pas. Puis la langue s’interpose entre les gencives et forme un creux qui conduit le liquide vers la gorge. Normalement ce fonctionnement disparait peu à peu entre 3 et 6 ans quand toutes les dents de lait sont en place. Mais parfois, pour différentes raisons, la déglutition infantile persiste.
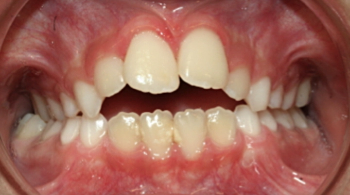
Il y a toujours une contraction des lèvres et la langue s’interpose entre les dents, dans la déglutition immature. Cela peut créer ce qu’on appelle une béance : un espace entre les dents du haut et du bas ou une projection des dents vers l’avant. Comme en général, chez ces personnes, la langue est souvent en position basse au repos, elle n’appuie pas sur le palais et ne stimule pas sa croissance. On se retrouve donc avec une mâchoire trop étroite… Donc bien avaler, c’est important !
