Thromboses veineuses et embolies pulmonaires restent fréquentes en France
La maladie veineuse thromboembolique (MVTE) regroupe les thromboses veineuses et leur complication immédiate, les embolies pulmonaires. Selon les dernières données de l'Institut national de veille sanitaire (InVS), la MVTE est associée aux causes de 187 hospitalisations sur 100.000. Dans 45,8% des cas, la MVTE est la cause première de l'hospitalisation.

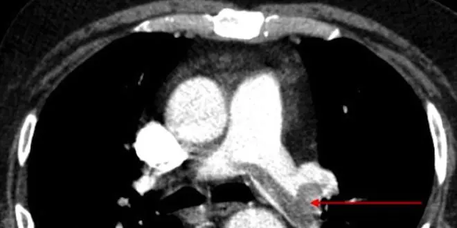
Lorsqu'un caillot de sang se forme et obstrue une veine, on parle de thrombose veineuse (ou phlébite). Dans 70% des cas, ce caillot ce détache et migre vers les artères pulmonaires, les obstruant à leur tour : c'est l'embolie pulmonaire.
Ces deux pathologies indissociables restent très fréquentes en France, au vu des chiffres publiés par l'InVS dans son bulletin épidémiologique du 22 octobre 2013 : en 2010, 8,1 décès sur 100.000 ont eu pour cause unique une maladie veineuse thromboembolique. Près de 23 décès sur 100.000 sont associés à une MVTE (causes multiples de décès). En tout, ce sont plus de 14.800 personnes qui décèdent chaque année des suites de cette maladie.
Une étude réalisée en 2005 (sur l'année 1999) estimait le taux de mortalité associé à la MVTE autour de 9 cas sur 100.000 pour l'ensemble de la population. Ces taux de mortalité sont du même ordre que ceux observés en Suède ou en Allemagne sur les mêmes périodes.
En savoir plus
Sur Allodocteurs.fr :
- Phlébites : une affection à traiter d'urgence
- Embolie pulmonaire : une complication de la phlébite
- Phlébite : une opération pour traiter les séquelles
- Circulation sanguine : évitez les bouchons !
- Entretenir le réseau sanguin
- Varices : quand les veines s'emmêlent
- Comment réagir en cas d'embolie pulmonaire ?
- Circulation sanguine : évitez les bouchons !
- Entretenir le réseau sanguin
- Anticoagulants : et le sang s'écoule
- Quand la tension monte dans l'artère pulmonaire
- Chat : l'embolie pulmonaire, du 25 mars 2013