Son cancer était celui de son ver solitaire

Des chercheurs nord-américains ont découvert que les cellules cancéreuses d'un ver solitaire ont été transmises à son hôte humain. Le cas, décrit ce 4 novembre 2015, dans le New England Journal of Medicine (NEJM), est rarissime.

La rédaction d'Allo Docteurs
La rédaction d'Allo Docteurs
Rédigé le , mis à jour le
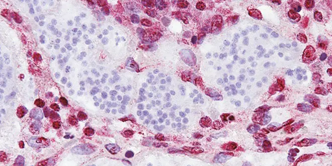
Cellules cancéreuses originaires du ténia au milieu de cellules humaines, après coloration en laboratoire pour analyse (source : NEJM, doi: 10.1056/NEJMoa1505892)
Cellules cancéreuses originaires du ténia au milieu de cellules humaines, après coloration en laboratoire pour analyse (source : NEJM, doi: 10.1056/NEJMoa1505892)

L'étude décrit le cas d'un Colombien de 41 ans infecté par le VIH en 2006, suivi au début de l'année 2013 pour des tumeurs cancéreuses aux poumons et aux glandes lymphatiques. Le patient était également traité pour une infection par Hymenolepis nana (le ténia le plus fréquent chez l'homme, voir encadré).

Sous le microscope, les prélèvements tumoraux se révélèrent constitués de cellules malignes atypiques, "dix fois plus petites" que la normale.

L'ensemble des tentatives thérapeutiques mises en œuvre pour soigner le malade ont échoué, et celui-ci est décédé en mai 2013.

Des experts des Centres étasuniens de contrôle et de prévention des maladies (CDC), sollicités par leurs confrères colombiens, ont procédé à l'analyse génétique des prélèvements. L'ADN s'avéra correspondre "à 99%" au patrimoine de Hymenolepis nana. Un résultat particulièrement surprenant pour les biologistes, la structure des cellules ne correspondait en rien à celles caractéristique des ténias.

En approfondissant les recherches, les chercheurs ont identifié des mutations génétiques délétères, susceptibles d'engendrer une prolifération cancéreuse. Les cellules cancéreuses qui infestaient le patient étaient donc des métastases du cancer d'un des vers dont il était l'hôte.

Un très petit nombre d'observations similaires ont déjà été rapportées chez l'homme, l'orang-outang et le chat. Toutefois, les structures cellulaires étaient dans tous ces cas très reconnaissables, notent les auteurs de l’étude.

Ceux-ci formulent l’hypothèse que de telles proliférations cancéreuses de cellules de ténia sont "diagnostiquées à tort comme des cancers humains, notamment dans des pays sous-développés où les infections au VIH et H. nana sont très répandues".

Ils notent qu'en laboratoire, les traitements conventionnels du ténia n’ont pas fait régresser les cellules tumorales mises en culture, et ignorent quel traitement aurait pu sauver la vie du patient.

Source : Malignant Transformation of Hymenolepis nana in a Human Host. A. Muehlenbachs et coll. NEJM, 5 nov. 2015, doi:10.1056/NEJMoa1505892

75 millions de personnes seraient porteurs d’un Hymenolepis nana dans le monde, selon une estimation de 1999.

Contrairement à d’autres ténias, H. nana peut compléter son cycle de vie dans l'intestin grêle, sans avoir besoin d'un hôte intermédiaire : en d’autres termes, des générations de ténias peuvent se succéder dans l’organisme d’un même individu – en particulier si celui-ci est immunodéprimé.