Il développe deux abcès intracrâniens à cause d’un coton-tige
Parce qu’il a mal utilisé un coton-tige pour se nettoyer les oreilles, un homme de 31 ans a développé une infection du canal auditif sévère au point de souffrir de deux abcès intracrâniens.

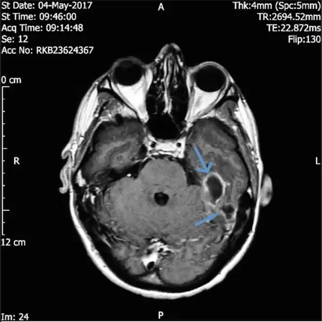
Cet homme ne pensait sûrement pas qu’il déclarerait une telle infection en se nettoyant simplement les oreilles. Un britannique de 31 ans a développé deux abcès intracrâniens à la suite d’une infection liée à la perte d’un morceau de coton-tige dans son oreille. Les médecins ORL de l’hôpital universitaire Coventry & Warwickshire qui ont traité ce patient en mai 2017 rapportent son histoire dans un article du BMJ Case Report publié le 6 mars 2019.
Les symptômes débutent 10 jours avant sa prise en charge : le trentenaire souffre de douleurs, d’écoulements et de perte de l’audition au niveau de l’oreille gauche, qui s’accompagnent de maux de tête localisés du côté gauche, de nausées et de vomissement. Autre signe étonnant : le patient remarque qu’il oublie plus facilement les noms depuis quelques jours. Son médecin généraliste diagnostique une sévère infection de l’oreille et lui prescrit deux traitements antibiotiques différents. Mais son état ne s’améliore pas. Une crise de convulsions et une perte de conscience le conduisent aux urgences.
Les médecins comprennent alors que le problème n’est pas nouveau : le patient révèle que les douleurs et la perte de l’audition de l’oreille gauche durent depuis déjà cinq ans.
Un morceau de coton-tige oublié dans l’oreille
A l’hôpital, le trentenaire passe un scanner qui révèle alors la présence de deux abcès intracrâniens à proximité de son conduit auditif, responsables de ses symptômes neurologiques. Une analyse des sécrétions présentes dans son oreille gauche révèle quant à elle la présence de bactéries pathogènes du genre Pseudomonas aeruginosa. Le diagnostic peut enfin être posé avec certitude : il s’agit d’une otite externe nécrosante.
Etape suivante, les médecins procèdent à une microchirurgie pour comprendre ce qui a pu provoquer cette infection : ils trouvent alors un morceau de coton qui a dû se décrocher d’un coton-tige lors d’un ancien nettoyage d’oreille. Après un traitement antibiotique administré par voie intraveineuse, douleurs, perte auditive et symptômes neurologiques ont entièrement disparu.
Comment bien se nettoyer les oreilles ?
Alors que les otites externes nécrosantes touchaient principalement des patients âgés, diabétiques ou immunodéprimés, les médecins ont remarqué une augmentation du nombre de cas chez les personnes jeunes et en bonne santé. Selon les auteurs de l’étude, "l’usage de coton-tiges dans le conduit auditif constitue un facteur de risque pour de nombreux problèmes otologiques, dont les otites externes". En effet, utiliser un coton-tige risque de repousser les débris du conduit auditif à l’intérieur de l’oreille et de favoriser les bouchons de cérumen. Veillez donc à ne pas enfoncer trop profondément l’objet dans l’oreille et à rester à l'entrée du conduit auditif. Vous pouvez également privilégier des solutions nettoyantes en spray, à condition d’avoir au préalable réalisé un examen médical pour vous assurer que votre oreille est en bonne santé.