Première : un accouchement filmé sous IRM
Pour la première fois, la vidéo d'une naissance a été réalisée sous un angle privilégié grâce à un appareil d'IRM spécial. Des médecins allemands sont à l'origine de cette initiative qui permet d'analyser en détails les mécanismes de l'accouchement d’une nouvelle façon.

Cette vidéo de naissance est la première du genre, d'une intimité inédite. En novembre 2010, une jeune femme de 24 ans a accepté de donner la vie dans un contexte particulier pour les besoins d'une etude, mais la vidéo n'a été publiée il a quelques jours seulement.
Une description anatomique de qualité
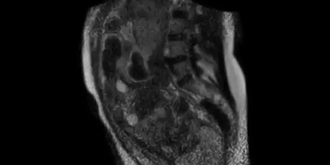
La jeune mère a accouché dans un appareil d'IRM spécial, puisqu'il s'agit d'un appareil ouvert développé à l'origine pour les patients claustrophobes. Grâce à ce dispositif et à une caméra sans film compatible avec l'IRM, les chercheurs ont pu suivre, dans une résolution d'image de qualité suffisante, les battements du cœur du fœtus, également la position des squelettes de l'enfant à naître et de la mère.
"Ils ont pu avoir accès en temps réel à une description anatomique au niveau du pelvis et du périnée, ça permet de mieux comprendre ce qu'il y a de traumatisant pour l'anatomie de la mère et comment le foetus s'engage", précise le Dr Guillaume Gorincour, radiologue au service d'imagerie pédiatrique et prénatale à l'hôpital de la Timone à Marseille, contacté par la rédaction d'Allodocteurs.fr.
Selon ce spécialiste, « cette technique d’imagerie par IRM non dangereuse représente un tournant dans la façon de comprendre les mécanismes sur le plan obstétrical. Une des causes importantes de mortalité maternelle et foetale résulte de l’arrêt du travail. Or pour l’instant nous étions assez limités dans la compréhension de l’accouchement en raison des risques d’irradiation puisque nous ne disposions que de radios standards sur des cadavres. »
De nombreuses précautions prises
Cet accouchement original a duré moins d'une heure en tout sans la moindre complication. Et même si la technique de l'IRM ne présente pas de risque pour la mère et le fœtus, de nombreuses précautions avaient été prises, notamment pour protéger l'audition du foetus du bruit de l'appareil d'IRM.
La mère n'avait pas encore perdu les eaux lors de la première phase de travail, ce qui a permis de réduire l'impact sonore de l'examen et la capture des images a été arrêtée juste avant que la tête du bébé ne sorte afin de ne pas abîmer ses tympans. De plus une sage-femme et un obstétricien étaient restés présents aux côtés de la mère. Le bébé, en bonne santé, pesait un peu plus de 2,5 kg à la naissance.
L'objectif de cette étude parue récemment dans l'American Journal of Obstetrics & Gynecology et réalisée par l'équipe du Dr Christian Bamberg de l'hôpital universitaire de la Charité à Berlin, consistait à enrichir la connaissance des mécanismes de l'accouchement.
Source : Le Figaro, "Un accouchement filmé pour la première fois sous IRM", par Romy Raffin
En savoir plus
Sur Allodocteurs.fr :
Et aussi :
- American Journal of Obstetrics & Gynecology
- "Human birth observed in real-time open magnetic resonance imaging", 16 janvier 2012
- Le Figaro.fr
- "Un accouchement filmé pour la première fois sous IRM", par Romy Raffin, 27 juin 2012
- YouTube.com
- "Human birth in an MRI"