Un ver immortel aide à réveiller une immunité latente chez l'homme
Staphylocoque doré, listériose, tuberculose... Les bactéries résistantes aux antibiotiques n'ont qu'à bien se tenir ! Une équipe internationale, coordonnée par des chercheurs du CNRS, affirme avoir donné la capacité à des globules blancs humains de détruire ces pathogènes en rendant actif une portion inexprimée de notre génome. Publiée ce 10 septembre 2014, dans Cell Host and Microbe, leur découverte ne devrait rien au hasard et tout... à l'étude d'un ver plat immortel.


Oubliez les rats de laboratoire, les mouches drosophiles, les poissons-zèbres et les rats-taupes nus. Le nouveau héros des labos se nomme peut-être le planaire. Un ver plat aquatique bien connu des biologistes pour son incroyable capacité de régénération.
"Le planaire n'est utilisé habituellement que dans les études sur la reconstitution des tissus, car cet organisme est immortel", explique dans un communiqué Eric Ghigo, directeur de recherche au CNRS à l'origine des travaux sur l'immunité évoqués plus haut. "Si vous le coupez en dix fragments, cela vous donne dix nouveaux vers."
Mais ce n'est pas cette aptitude surprenante qui a ici intéressé les chercheurs. Eric Ghigo explique qu'il cherchait "un modèle d'organisme nouveau" pour changer des modèles animaux habituels avec lesquels "on arrivait au bout des choses", dit-il.
L'idée originale de l'équipe d'Eric Ghigo a été de tester dix-sept bactéries sur le planaire Dugesia japonica, notamment celles responsables de la légionellose, de la salmonellose, de la tuberculose ou de la listériose. Une idée payante puisque le ver immortel s'est montré résistant à ces dix-sept bactéries "pathogènes voire mortelles pour l'homme".
Un gène présent dans le génome humain
Grâce au séquençage de l'ADN effectué par une équipe néozélandaise spécialisée dans "le séquençage de modèles bizarres", les chercheurs ont découvert que l'incroyable résistance du planaire à ces agents pathogènes était associée à l'expression de dix-huit gènes.
Leur intérêt s'est rapidement focalisé sur l'un d'eux : le gène "MORN2"... également présent dans le génome humain, mais inactif.
Des essais cliniques d'ici 10 à 15 ans
Les chercheurs ont forcé des cultures de globules blancs humains (en l'occurrence, des macrophages) à exprimer fortement ce gène. Ainsi stimulés, les macrophages sont devenus capables d'éliminer les bactéries S. aureus (le staphylocoque doré), M. tuberculosis (la bactérie à l'origine de la tuberculose), L. pneumophila, "ainsi que de nombreux autres pathogènes".
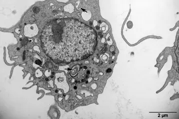
Les chercheurs ont étudié plus précisément la façon dont MORN2 aidait les macrophages à venir à bout de la tuberculose. Leurs analyses ont montré que lorsque ce gène est exprimé, la cellule parvient à séquestrer l'agent de la tuberculose "dans une cavité intracellulaire où [elle] est détruite."
"L'agent de la tuberculose réussit habituellement à échapper à ce destin : la bactérie peut alors rester à l'état latent dans les cellules, et ressurgir lorsque le système immunitaire est affaibli", détaille le CNRS.
Si ces travaux étaient reproduits, ils ouvriraient "une nouvelle piste d'action [pharmacologique], contre M. Tuberculosis, dont les souches résistantes aux antibiotiques sont de plus en plus répandues".
Eric Ghigo estime quant à lui que ces travaux pourraient conduire à des essais cliniques sur l'homme "[d'ici] 10 à 15 ans".
Source : Screening in Planarians Identifies MORN2 as a Key Component in LC3-Associated Phagocytosis and Resistance to Bacterial Infection. P. Abnave et coll. Cell Host and Microbe, sept. 2014 DOI:10.1016/j.chom.2014.08.002
"Ces travaux montrent l'intérêt des organismes modèles « exotiques » comme le planaire", s'enthousiasment les chercheurs. "Le gène MORN2 a été perdu au cours de l'évolution menant aux organismes modèles classiques tels que la mouche [drosophile], alors qu'il est conservé chez l'homme. Le mécanisme de la réponse immunitaire humaine découvert dans cette étude serait donc resté inconnu sans le recours à ce nouveau modèle."