Dengue, chikungunya et zika menacent la Nouvelle-Calédonie
Des cas de zika, de dengue et de chikungunya sont actuellement déclarés en Nouvelle-Calédonie. Les autorités sanitaires exhortent la population à lutter contre les moustiques.



Le zika (ou fièvre zika) est une maladie qui provoque fièvre, douleurs musculaires et éruptions cutanées. En Nouvelle-Calédonie, les premiers cas sont survenus mi-novembre, en provenance de Polynésie française, frappée par une importante épidémie.
"Il y a 18 cas déclarés de zika [en Nouvelle-Calédonie]," a déclaré à l'AFP Martine Noël, médecin de veille sanitaire à la DASS (direction des affaires sanitaires et sociales). "Toutes les personnes [infectées] revenaient de Tahiti mais il est possible [que] le virus circule localement sans que nous en ayons encore connaissance."
Il a été recommandé à toute personne de retour de Polynésie de mettre du répulsif contre les moustiques pendant sept jours afin de limiter les risques de propagation du virus.
Chikungunya et dengue
Un nouveau cas de chikungunya est identifié chaque mois. Avec les fortes chaleurs des mois d'été (janvier à mars), la DASS craint que les infections ne se multiplient.
La dengue de type 1, qui a touché 11.000 personnes lors d'une épidémie entre septembre 2012 et octobre 2013 tuant quatre personnes, continue également de sévir, à raison de dix à vingt cas par mois.
"Ce que nous redoutons le plus, c'est une propagation du zika, du chikungunya ou d'un nouveau sérotype de dengue, [...] car la population calédonienne est vierge [de ces infections]", a déclaré Mme Noël.
Moustiques
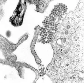
Ces trois arbovirus (1) aux symptômes proches sont véhiculés par le moustique Aedes Aegypti, qui prospère dans les petites retenues d'eau des pots de fleurs, des pneus, des gouttières ou de n'importe quel récipient.
"Ce moustique pond dans des gites larvaires précis. Si chacun d'entre nous est vigilant on peut s'en débarrasser", a déclaré Martine Noël, tandis qu'une campagne de sensibilisation a été lancée par le gouvernement local.
Fréquent en Afrique et en Asie, le zika n'avait pas été observé en Océanie depuis 2007 où 153 personnes avaient été infectées en Micronésie.
---
(1) Les arbovirus sont des virus ayant pour vecteur les arthropodes suceurs de sang (moustiques, tiques...). Les maladies associées sont nommées arboviroses.
En savoir plus sur les arboviroses
Sur Allodocteurs.fr :
Dossiers
Sur le forum
Dengue (fièvre rouge), zika et chikungunya présentent de nombreux symptômes communs à la grippe : fièvre, courbatures, maux de tête, fatigue importante. Ni l'aspirine ni l'ibuprofène ne doivent être employés pour traiter ces maladies.
Dans le cas de la dengue, la période d'incubation est de 2 à 7 jours. La fièvre, assez élevée, se maintient durant 5 à 7 jours. Les nausées et les vomissements peuvent empêcher l'alimentation et entraîner une déshydratation ainsi qu'un syndrome d'épuisement. Il faut compter 15 jours de convalescence. Les formes les plus sévères de la maladie peuvent entraîner des hémorragies, et conduire au décès du patient.
Les manifestations du zika (dont la durée d'incubation n'est pas connue précisément) sont similaires. Toutefois, la maladie semble disparaître d'elle-même au bout d'une dizaine de jours.
Une infection au chikunguya s'accompagne de douleurs articulaires et musculaires très fortes. La période d'incubation est de 4 à 7 jours. Les personnes atteintes adoptent alors une attitude courbée typique (en swahili, chikungunya signifie "marcher courbé").