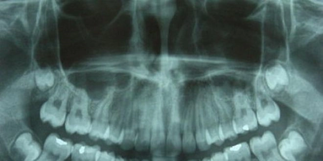
Plus de tumeurs au cerveau avec des radiographies dentaires régulières ?

Les personnes soumises tous les ans à des radiographies dentaires seraient exposées à un risque de tumeurs du cerveau plus important que les autres. Mais ces résultats sont à relativiser au regards des pratiques réelles dans nos cabinets dentaires : les examens radiographiques sont rares et font appel à des doses de rayons X extrêmement faibles.

La rédaction d'Allo Docteurs
La rédaction d'Allo Docteurs
Rédigé le
Plus de tumeurs au cerveau avec des radiographies dentaires régulières ?

L'étude, publiée dans le journal de l'American Cancer Society, se base sur des données recueillies auprès de 1 433 patients américains de 20 à 79 ans, souffrant de tumeurs au cerveau de type méningiome, généralement bénignes. D'après les résultats obtenus, une radiographie dentaire tous les ans augmenterait de 1,4 à 3 fois le risque de développer une tumeur de ce type. Les auteurs de l'étude, en conséquence, suggèrent d'éviter de pratiquer de tels examens tous les ans.

Pas de radiographie dentaire annuelle

Si en France aucune étude similaire n'a été menée, ces résultats plutôt préoccupants doivent être nuancés. Pour le Dr Alexandre Safarti, chirurgien-dentiste à Paris, la question du risque lié à l'exposition aux rayons X lors des radiographies dentaires "ne se pose pas" : "Il faut savoir qu'aucun patient n'est soumis tous les ans à une radiographie pour contrôle. L'examen radiographique ne fait pas partie d'une visite de routine chez le dentiste, si il n'y a pas de problème particulier."

Des doses infinitésimales et "sur mesure"

De plus, les appareils français sont soumis à des normes européennes strictes, basées sur une connaissance précise de l'impact des rayonnements sur les tissus : "Le taux de pénétration des rayonnements sur les os et les dents, et donc la dose qu'il peuvent recevoir sont très bien identifiés", explique le Dr Safarti.

"La dose  administrée au patient est légèrement adaptée en fonction de l'endroit où l'examen est réalisé, car la densité osseuse n'est pas la même à l'avant ou à l'arrière de la bouche", explique le Dr Safarti. Elle dépend aussi du patient en lui-même. "Tout le monde n'a pas la même densité osseuse. Celle-ci est évaluée par le chirurgien-dentiste par une simple palpation clinique, pour lui permettre d'évaluer ce que l'on appelle le biotype du patient."

Quoi qu'il en soit, les doses reçues sont infinitésimales, et le sont d'autant plus depuis que le matériel a évolué. "Depuis plusieurs années, les dentistes utilisent des capteurs numériques, très sensibles, qui ont permis de faire encore baisser les quantités de rayonnements à utiliser par rapport à l'argentique." Pour se faire une idée, une radiographie panoramique (qui couvre l'ensemble de la mâchoire) expose à une dose de rayonnement comparable à celle reçue lors d'un vol Paris- New York en avion… "Dans les cabinets dentaires, les doses administrées n'ont rien à voir avec celle reçues, par exemple, lors d'une radio abdominale", précise le chirurgien dentiste.

Pas de risque particulier, donc, à se soumettre à cet examen. En tous cas en ce qui concerne les radios dentaires "banales". "Les examens radiographiques cervico-faciaux, les scanners, où toute la tête est soumise à l'exposition aux rayons ne sont pas du tout du même ordre…", précise le Dr Safarti. "Mais de toutes façons, les dentistes ne les pratiquent pas."

En savoir plus :