Déformations du crâne du bébé lors de l'accouchement : précieux indices de leur état de santé ?
Les os du crâne et même le cerveau des foetus adoptent la forme d’un cône pendant l’accouchement. Des chercheurs dévoilent d'impressionnantes images de ces déformations pouvant expliquer certaines complications post-natales.


Que se passe-t-il pendant l’accouchement… au niveau du crâne de bébé ? Si les médecins savaient déjà que les pressions exercées sur la tête du fœtus étaient élevées lors du passage au niveau du bassin de la mère, des chercheurs de l’université Clermont Auvergne montrent avec précision les effets de ces contraintes. Ils révèlent dans une étude publiée le 15 mai 2019 dans la revue PLOS ONE que les os de la tête mais aussi le cerveau des foetus se déforment pendant l’accouchement, images en trois dimensions à l’appui.
A lire aussi : Première : un accouchement filmé sous IRM
Une forme conique en "pain de sucre"
Les chercheurs ont réalisé des IRM de sept femmes de façon à obtenir des images 3D du crâne du bébé avant la naissance puis pendant le deuxième stade de l’accouchement, période comprise entre l’ouverture complète du col de l’utérus et la naissance du bébé. Les IRM ont été réalisées pendant des temps de repos et n’ont pas présenté de danger ni pour la mère ni pour l’enfant à naître.
Ces images ont permis aux chercheurs d’observer un point commun chez tous les fœtus : le crâne est modelé et adopte une forme conique dite en "pain de sucre", quel que soit le type de naissance, par voie basse comme par césarienne. Chez deux bébés sur sept, cette forme a été conservée après la naissance. Une variation qui pourrait dépendre du degré d’élasticité des os du crâne, selon les auteurs de l’étude.

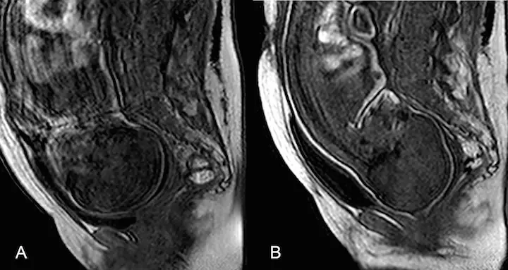
Crédits Photo : PLOS ONE, Ami et al. 2019 - Images obtenue par IRM avant et pendant l’accouchement. Photo A : La tête du fœtus n’est pas modelée. Le bébé n’est pas encore passé au niveau du bassin de la mère. Photo B : La tête du fœtus passe par la cavité pelvienne, pendant le deuxième stade de l’accouchement. Elle prend une forme conique typique en "pain de sucre".

Crédits Photo : PLOS ONE, Ami et al. 2019 - Reconstitution 3D des os du crâne chez un même bébé pendant la naissance (en rose : os frontal, en vert : os pariétaux, en bleu : os occipital) A, C et E : avant l’accouchement / B, D et F : pendant le deuxième stade de l’accouchement.

Crédits Photo : PLOS ONE, Ami et al. 2019 - Reconstitution 3D de la forme de la tête du fœtus avant l’accouchement en A, C et E et pendant le deuxième stade de l’accouchement en B, D et F. Le changement de forme de la tête s’opère pendant le deuxième stade et suit le modelage des os du crâne jusqu’à revêtir une forme en "pain de sucre".
Un lien entre déformation et hémorragies ?
Et cette déformation pourrait expliquer certaines complications post-natales : "Ces résultats d’IRM suggèrent que le fœtus est soumis à un stress plus important que prévu, ce qui pourrait expliquer l’incidence élevée d’hémorragie cérébrales asymptomatiques et d’hémorragies rétiniennes observées après un accouchement normal par voie basse", relèvent notamment les chercheurs.
C’est pourquoi les auteurs de la publication proposent de prendre en compte cette découverte dans la définition même de "naissance normale". Ainsi, "L’accouchement est actuellement considéré comme normal lorsqu’une parturiente accouche par des moyens naturels, avec seulement quelques efforts d’expulsion", rappellent-ils dans leur étude. Cette définition ne prend donc pas en compte la capacité de la tête du fœtus à se déformer, alors que cette capacité pourrait influer sur son état de santé. Ils proposent donc de considérer un accouchement comme "normal" lorsque une femme "donne naissance naturellement avec peu d’efforts d’expulsion, que son enfant se porte bien et ne présente pas de complications liées aux changements de forme de son cerveau pendant le processus".