Vingt-quatre ans sans cervelet
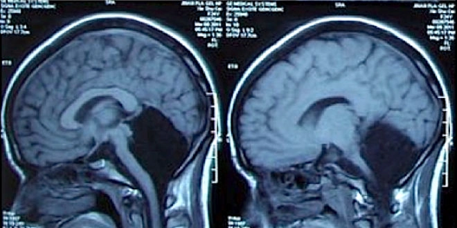
Hospitalisée à la suite de nausées et de vertiges, une Chinoise de 24 ans, atteinte de troubles moteurs importants, a bénéficié d'un scanner du cerveau. Ses médecins ont constaté l'absence de cervelet, structure clef de la coordination des mouvements. Seuls huit cas similaires sont recensés dans la littérature médicale - les malformations congénitales associées entraînant, le plus souvent, le décès de l'enfant.

Elle n'avait pu se tenir debout qu'à l'âge de 4 ans, n'était parvenue à s'exprimer intelligiblement qu'à l'âge de 6 ans, et n'avait appris à marcher qu'à 7 ans. Depuis plus de vingt ans, elle souffrait régulièrement de vertiges, et se retrouvait fréquemment dans l'incapacité de marcher. Elle n'a jamais couru ni même sauté, et sa prononciation des mots a toujours été laborieuse.
En dépit de ces symptômes, qui lui interdirent l'accès à l'école, les examens neurologiques ont confirmé qu'elle n'avait pas de difficultés de compréhension linguistique.
Depuis plus d'un mois, la jeune femme souffrait de nausées et de vomissements. Admise dans un hôpital de la province de Shandong (Est de la Chine), la patiente a bénéficié d'un scanner cérébral. Celui-ci a révélé, en termes médicaux, une "agénésie cérébelleuse primaire complète". C'est-à-dire qu'aucune structure reconnaissable n'était présente au niveau de la zone normalement dévolue au cervelet.
Le cervelet, chef d'orchestre des mouvements
Le cervelet est une structure du cerveau de petite taille, située sur sa face postérieure. Sa principale fonction est d'intégrer les signaux moteurs reçus de tout l'organisme (sensations musculaires, ordres issus du cortex…) afin de permettre la coordination et la synchronisation des gestes et des mouvements.
Le cervelet est indispensable pour l'apprentissage de la motricité fine (mouvements précis et ajustés aux sensations, notamment en lien avec l'équilibre). Il contribue, dans une moindre mesure, à la régulation de l'attention et du langage."La plupart des personnes ayant une agénésie cérébelleuse primaire complète sont les nourrissons ou les enfants présentant une insuffisance mentale grave, une épilepsie, hydrocéphalie et d'autres lésions macroscopiques du système nerveux central", détaillent les médecins chinois, qui ont décrit ce cas fin août 2014 dans la prestigieuse revue Brain.
"Des cas d'adultes avec une agénésie cérébelleuse primaire complète [ont déjà été rapportés], mais les descriptions neurologiques détaillées, chez un adulte vivant, font défaut."
Les auteurs souhaitent donc approfondir leurs investigations pour savoir si diverses autres parties du cerveau sont parvenues, chez cette patiente, à mimer des fonctions propres au cervelet.
A noter que l'organisation des cellules qui composent cet organe est très particulier(1), autorisant un traitement très rapide et très structuré des signaux nerveux. En dépit de la plasticité du cerveau, les fonctions propres du cervelet ne pourraient être réellement compensées par des structures fondamentalement différentes.
---
(1) Notamment très petites cellules nerveuses, regroupées en réseau, en d'innombrables sous-unités très structurées.
Source : A new case of complete primary cerebellar agenesis: clinical and imaging findings in a living patient. Feng Yuet coll. Brain (2014) doi: 10.1093/brain/awu239