Un ver cheminait dans son cerveau
Quatre années durant, des médecins anglais se sont creusés la tête (si l'on ose dire) sur le cas d'un patient présentant un oedème cérébral qui semblait se déplacer dans sa boîte crânienne. Une biopsie a révélé la présence dans son cerveau d'une larve de ver vivante, de 10 centimètres de long. Le séquençage du génome du parasite a permis d'identifier le type de traitement efficace contre ce genre de ténia.

Un homme de 50 ans d'origine chinoise, résidant aux Royaume-Uni depuis 20 ans, souffrait depuis de longs mois de maux de tête, de troubles de la mémoire et de l'odorat, ainsi que de crises d'épilepsie toniques-cloniques (raideurs musculaires suivies de spasmes). A la fin des années 2000, il fut admis à des fins d'examens dans un hôpital de la région de Cambridge. Là, une IRM cérébrale révéla la présence d'une sorte d'œdème au niveau du lobe temporal droit.
Soupçonnant une inflammation ou un développement cellulaire étranger, les médecins ont réfléchi aux diverses origines possibles du mal. Tuberculose ? Syphillis ? Maladie de Lyme ? Tous les résultats d'analyses revenaient négatifs.
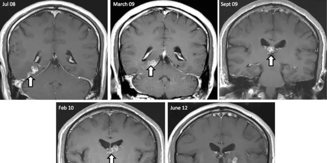
A l'occasion d'une nouvelle IRM, les médecins furent surpris de voir que "l'œdème" s'était déplacé dans le cerveau du malade. Quatre années durant, les imageries se suivirent sans se ressembler : au terme de cette période l'anomalie s'était déplacée de plus de 5 centimètres dans le cerveau, sans pour autant grossir.
Une biopsie révéla alors la composition "l'œdème" : une larve vivante de Spirometra erinaceieuropaei, un ver plat proche du ténia.
Mesurant 10 centimètres de long elle avait élu domicile dans la boîte cranienne du patient depuis de longues années.
Un peu plus de 300 cas recensés depuis soixante ans
Ce type d'infection parasitaire rare porte un nom : la sparganose. Un peu plus de 300 cas ont été décrits dans la littérature médicale durant les 60 dernières années, concernant essentiellement des patients originaires d'Asie orientale. Les espèces incriminées sont le plus souvent Diphyllobothrium mansoni et Sparganum mansoni, contre lesquelles un traitement a été identifié.
Les infections à Spirometra erinaceieuropaei peuvent avoir lieu par ingestion d'eau contaminée, mais également de certains aliments infectés (grenouilles, serpents…), via une blessure ou des cataplasmes animaux (voir encadré). Les larves nichent généralement sous la peau, mais elles peuvent également migrer vers le cerveau (sparganose cérébrale) ou les yeux (sparganose oculaire).
Le traitement de référence inefficace ?
Ayant en main un magnifique spécimen de S. erinaceieuropaei, les médecins ont mis en place un projet de séquençage de son génome. L'objectif : identifier quelles cibles médicamenteuses pourraient être efficaces pour éradiquer à coup sûr ce type de ténia.
Dans l'article scientifique qui rend compte de leurs travaux, les chercheurs et médecins britanniques expliquent que le génome de S. erinaceieuropaei est le plus grand jamais séquencé chez un ver plat. L'analyse révèle que le traitement de référence contre ce type de parasitose, l'albendazole, serait en réalité inefficace, mais que d'autres médicaments existants pourraient être tout à fait pertinents.
Le patient chinois, qui avait précisément reçu de l'albendazole juste après l'extraction du vers, et qui au dire de ses médecins serait aujourd'hui rétabli, n'était donc vraisemblablement infecté que par un et un seul parasite.
Les auteurs notent qu'avec "l'augmentation de la mobilité mondiale, les infections [de ce type] peuvent apparaître de façon de plus en plus fréquente dans des pays où elles n'ont jamais été observées auparavant."
Source : The genome of the sparganosis tapeworm Spirometra erinaceieuropaei isolated from the biopsy of a migrating brain lesion. H.M. Bennett et coll. Genome Biology novembre 2014,15:510 doi:10.1186/s13059-014-0510-3
En savoir plus sur les infections parasitaires :
Cycle de vie du Spirometra erinaceieuropaei
Les œufs (A) sont relâchés dans l'eau. Une fois éclos, ils relâchent des "coracidias" (B) qui parasitent certains petits crustacés, où ces coracidias deviennent des larves (C). Si ces crustacés sont consommés par des têtards, grenouilles et serpents, ces larves se transforment en un second type de larves (D), qui nicheront dans les tissus de ces animaux. Lorsque ceux-ci sont mangés par des chiens ou des chats (F), la larve se développe dans leur tractus gastro-intestinal et atteignent leur forme adulte. Les œufs (A) produits par les vers contaminent le milieu extérieur via les excréments.
Les humains (E) peuvent être infectés par ingestion de grenouilles ou de serpents, mais également par absorption d'eau souillée. Les cataplasmes oculaires de peau de grenouille, utilisés dans certaines pratiques traditionnelles, peuvent être responsables de cette infection.